АРТЕРИАЛЬНАЯ ГИПЕРТОНИЯ
- Внедрение новых российских рекомендаций по лечению артериальной гипертензии у взрослых 2024г ассоциируется с тенденциями увеличения охвата населения антигипертензивной терапией.
- Регистрируется сдвиг к использованию трехкомпонентной терапии, в т.ч. в виде фиксированных комбинаций.
- Взаимодействие врача и пациента в виде обсуждения необходимости соблюдения полученных рекомендаций является важным фактором, ассоциированным с улучшением приверженности и эффективности лечения.
Цель. Оценить особенности антигипертензивной терапии (АГТ), привержен ности к терапии и достижения целевого артериального давления (АД) у па циентов с артериальной гипертензией (АГ) в клинической практике россий ских регионов после внедрения новых российских клинических рекоменда ций по АГ у взрослых 2024г.
Материал и методы. В течение мая 2025г в акции измерения АД приняли учас тие 7990 пациентов с АГ из 19 городов России и Тирасполя (Приднестровская Молдавская республика). В акции добровольно участвовали пациенты с АГ в возрасте старше 18 лет, пришедшие на амбулаторный визит к врачу. Во время скрининга трехкратно измерялось АД и пульс с помощью автоматиче ского или механического тонометра, заполнялся опросник о поведенческих факторах риска, навыках самоконтроля АД, приверженности к приему терапии, особенностях АГТ, наличии сопутствующей патологии и терапии. Под эффек тивностью АГТ подразумевалось достижение целевого уровня АД <140/90 мм рт.ст. у пациентов с АГ и приемом АГТ, а под контролем АД — у всех пациен тов с АГ независимо от приема АГТ.
Результаты. В анализ данных были включены 7972 респондента от 18 до 96 лет (медиана возраста 62 года [51;71]), из них 3372 мужчины (42,3%). Среди участников прием АГТ выявлен в 74,4% случаев и достижение целевого АД — в 62,6% случаев по критерию целевого АД <140/90 мм рт.ст. и 25,8% — в слу чае АД <130/80 мм рт.ст. "Прием препаратов по необходимости" остается ли дирующей причиной отсутствия приема АГТ среди пациентов с АГ. Примерно половина участников (57,7%) ответили, что не используют системы напоми нания о приеме препаратов, чаще всего пациенты с АГ используют дневни ки самоконтроля АД и таблетницы. У каждого пятого пациента с АГ была за регистрирована АГТ в виде монотерапии, у каждого третьего в виде двойной АГТ и у каждого четвертого — тройной АГТ. Фиксированные комбинации при нимали 34,5% пациентов. В амбулаторной практике лечения пациентов с АГ выявлены гендерные различия: значимо более высокая распространенность приема АГТ, использования систем напоминания о приеме АГТ, обсуждения с врачом, эффективность лечения и контроля АГ у пациентов женского пола. Обсуждение врачом важности соблюдения рекомендаций ассоциировалось со значимо более высоким достижением целевого уровня АД (отношение шансов (ОШ) 1,43), использованием фиксированной комбинации АГТ (ОШ 1,3) и нали чием статинотерапии (ОШ 1,39), p<0,0001.
Заключение. При оценке практики использования АГТ и достижения кон троля АГ в амбулаторной практике после внедрения российских клинических рекомендаций по АГ 2024г наблюдается увеличение охвата АГТ, эффектив ности и контроля АГ по сравнению с популяционными данными 20202022гг. Профиль назначения АГТ указывает на уменьшение доли монотерапии и уве личение доли тройной комбинации. Применение фиксированных комбинаций АГТ растет, но остается недостаточным. Полученные результаты демонстриру ют важность обсуждения с врачом необходимости соблюдения рекомендаций у пациентов с АГ для улучшения приверженности и эффективности лечения.
- Представлены результаты масштабного опроса врачей о восприятии проблемы приверженности к антигипертензивной терапии.
- Несмотря на признание её значимости, большинство врачей тратят на обсуждение терапии с пациентами не более 10 мин.
- Врачами используются в основном непрямые, невалидные методы оценки приверженности.
- Основные стратегии повышения приверженности включают информирование, упрощение схем лечения и напоминания.
- Отмечены значимые барьеры: недостаток времени, ресурсов и ограниченная доступность инструментов объективной оценки.
Цель. Анкетирование российских медицинских специалистов по вопросам приверженности, поскольку высокая приверженность к антигипертензивной терапии (АГТ) — одно из основных условий для удовлетворительного контроля артериальной гипертензии, снижения сердечно-сосудистого риска. Ключевую роль в повышении приверженности играет врач, однако в России недостаточно данных относительно того, как специалисты воспринимают и решают проблему низкого комплаенса.
Материал и методы. В период с 4 марта по 1 июня 2025г были собраны данные анонимного онлайн опроса, который был размещен на сайте Российского кардиологического общества и содержал 11 вопросов в различных форматах. Специалисты проходили опрос по собственной инициативе.
Результаты. Опрос прошли 344 врача, в основном женщины (78%), кардиологи (83%), со стажем работы >10 лет (74%), ведущие амбулаторный прием (86%). Усредненное время обсуждения с пациентом АГТ составляло в среднем 1-5 мин (28% респондентов) и 6-10 мин (38%). По мнению большинства (73%), только 0-15% пациентов не начинают рекомендованное лечение, 33% респондентов считают, что более половины пациентов продолжают лечение спустя год. Относительно причин низкой приверженности 41,5% врачей согласны, что она чаще является осознанным решением пациента, большинство склонны считать, что повысить приверженность возможно, но 62,2% считают, что универсального метода для всех пациентов не существует. Основными методами диагностики приверженности служат нестандартизованные опросы, <25% используют прямые методы. С целью повышения приверженности чаще прибегают к информированию пациентов, упрощают схемы лечения. Совместное принятие терапевтических решений и внедрение образовательных программ менее распространены. Основными барьерами для повышения приверженности признаны высокая рабочая нагрузка, ограниченное время консультации и недостаточная системная поддержка; финансовые стимулы и нехватка опыта менее значимы.
Заключение. Врачи-респонденты воспринимают низкую приверженность к АГТ как сложный и многогранный конструкт, но оптимистично настроены в отношении возможностей ее повышения. Уровень внедрения современных методов детекции и повышения уровня приверженности низок, отчасти из-за высокой рабочей нагрузки. Необходима разработка простых в имплементации алгоритмов для диагностики и повышения приверженности, оптимизация организационных условий амбулаторной практики для улучшения данных результатов.
ОБЩЕСТВЕННОЕ ЗДОРОВЬЕ И ОРГАНИЗАЦИЯ ЗДРАВООХРАНЕНИЯ
Инфаркт миокарда (ИМ) продолжает сохранять статус одного из ключевых жизнеугрожающих сердечно-сосудистых заболеваний с высоким бременем заболеваемости и смертности, включая население трудоспособного возраста. В рамках федерального проекта "Борьба с сердечно-сосудистыми заболеваниями" в Российской Федерации в 2019-2024гг была проведена масштабная модернизация системы оказания медицинской помощи при остром коронарном синдроме и ИМ: расширена сеть региональных сосудистых центров, оптимизирована маршрутизация пациентов, что позволило увеличить охват чрескожным коронарным вмешательством при ИМ с подъемом сегмента ST с 56% до 77%, а при ИМбпST — с 21% до 48%, и достичь снижения смертности от ИМ на 100 тыс. населения на 19,6%, а больничной летальности от ИМ — на 32%. Однако сохраняются межрегиональные различия, в связи с чем необходима дальнейшая работа над повышением доступности и своевременности реперфузионной терапии. В рамках федерального проекта "Борьба с сердечнососудистыми заболеваниями" Национального проекта "Продолжительная и активная жизнь" будет происходить мониторинг целевого показателя охвата реперфузионной терапией больных ИМ, госпитализированных в первые сутки от начала заболевания, уровень которого должен достичь 95% к 2030г. Реализация дополнительных мероприятий позволит сократить дифференциацию показателей между регионами, снизить смертность от болезней системы кровообращения и достичь национальных целей по увеличению продолжительности жизни.
- Анализ доступности медицинской помощи при остром коронарном синдроме в Курской и Курганской областях выявил региональные особенности влияния различных факторов доступности в снижении летальности.
- В Курской области основной вклад в снижение летальности вносит системная тромболитическая терапия, в Курганской — сокращение времени госпитализации.
- Для повышения эффективности рекомендуется учитывать временные аспекты в целевых показателях, пересмотреть определение профильной госпитализации и усилить контроль за корректностью данных мониторинга.
- Предлагается внедрение цифровых систем, таких как "Кардионет", для оптимизации маршрутизации пациентов и мониторинга показателей.
Цель. Изучить региональные особенности влияния доступности скорой и специализированной, в т.ч. высокотехнологичной, медицинской помощи пациентам с острым коронарным синдромом (ОКС) на летальность на примере Курской и Курганской областей.
Материал и методы. Для достижения поставленной цели использовались данные "Мониторинга мероприятий по снижению смертности от ишемической болезни сердца" за 2016-2021гг. Применялась коинтеграция временных рядов, характеризующих летальность от ОКС и параметры доступности медицинской помощи. Для оценки силы влияния факторов использовался коэффициент эластичности.
Результаты. В Курской области летальность при ОКС с подъемом сегмента ST (ОКСпST) снижали доля госпитализированных в первые 12 ч (Э=0,93%; R2=0,80), в первые 2 ч (Э=0,86%; R2=0,87), проведение тромболизиса (Э=4,9%; R2=0,98) и чрескожных коронарных вмешательств (ЧКВ) у пациентов, поступивших до 12 ч (Э=0,65%; R2=0,94). Летальность при ОКС без подъема сегмента ST (ОКСбпST) снижалась при увеличении доли процедур ЧКВ (Э=0,43%; R2=0,60). В Курганской области летальность при ОКСпST снижали доля госпитализированных в первые 12 ч (Э=1,9%; R2=0,76), до 2 ч (Э=0,65%; R2=0,65), проведение догоспитального тромболизиса (Э=0,44%; R2=0,56) и тромболизиса в целом (Э=1,15%; R2=0,96). При ОКСбпST снижение летальности также ассоциировалось с ростом доли ЧКВ (Э=1,1%; R2=0,75).
Заключение. Проведенное исследование свидетельствует о региональных различиях влияния доступности скорой и специализированной, в т.ч. высокотехнологичной, медицинской помощи пациентам с ОКС. В Курской области ключевую роль в снижении летальности играет системный тромболизис, в Курганской — сокращение времени госпитализации пациентов с ОКС. В обеих областях для снижения летальности при ОКСбпST необходимо увеличить доступность ЧКВ. Таким образом, для оценки эффективности региональных систем здравоохранения рекомендуется использовать коинтеграционный анализ.
ОСТРАЯ И ХРОНИЧЕСКАЯ И СЕРДЕЧНАЯ НЕДОСТАТОЧНОСТЬ
- Диагностика сердечной недостаточности с сохраненной фракцией выброса представляет собой сложную задачу.
- Анализ резервуарной функции левого предсердия при эхокардиографии покоя в сочетании с дополнительными признаками угнетения диастолического резерва при диастолическом стресс-тесте составляют многофакторный/комплексный подход к диагностике сердечной недостаточности с сохраненной фракцией выброса.
Цель. Исследовать структурно-функциональное состояние сердца при подтвержденной сердечной недостаточности с сохраненной фракцией выброса (СНсФВ) в зависимости от тяжести диастолической дисфункции (ДД) левого желудочка (ЛЖ).
Материал и методы. Осуществлен анализ данных 303 пациентов с ДД ЛЖ (45,2% мужчин, средний возраст 66,3±6,0 года). Диастолический стресс-тест (ДСТ) проведен при недостаточном количестве критериев для заключения о СНсФВ по данным эхокардиографии покоя (n=251). В исследование включены 153 пациента с подтвержденной СНсФВ (35,3% мужчин, средний возраст 67,0±5,6 года). Группу I (n=101) составили пациенты со снижением диастолического резерва ЛЖ при ДСТ (E/e′ >14); группу II (n=52) — больные с выраженной ДД ЛЖ в покое, не требующие ДСТ для заключения о СНсФВ. Метод отслеживания движения пятен (speckle tracking echo) использован для оценки деформации резервуарной фазы левого предсердия (Left Atrial reservoir Strain, LASr).
Результаты. При анализе основных клинико-функциональных параметров между группами были выявлены статистически значимые различия по тесту 6-мин ходьбы (400,0 [360,0;440,0] м в группе I и 365,5 [310,5;401,5] м в группе II, соответственно; р<0,001) и концентрации N-концевого промозгового натрийуретического пептида (NT-proBNP) (257,7 [100,0;443,3] пг/мл и 412,0 [191,4;780,2] пг/мл; р=0,002). При проведении эхокардиографии покоя выявлены достоверные различия по индексу объема левого предсердия (иоЛП) (33,5 [29,2;40,1] мл/м2 и 40,8 [37,3;47,6] мл/м2; р<0,001), отношению E/e′ (11,3 [10,1;12,6] и 16,3 [14,9;19,2]; р<0,001), LASr (21,3 [19,5;24,7]% и 15,0 [12,5;17,3]%; р<0,001). По данным корреляционного анализа у больных СНсФВ выявлены связи умеренной силы: LASr и E/e′ (r=-0,538; р<0,001), LASr и иоЛП (r=-0,443; р<0,001), отмечено отсутствие связи между LASr и NT-proBNP (r=-0,157; р=0,060). При анализе ДСТ были выявлены статистически значимые различия по всем характеристикам увеличения ДН ЛЖ в группе I.
Заключение. Для пациентов с подтвержденной СНсФВ при увеличении давления наполнения ЛЖ характерно угнетение резервуарной функции ЛП и расширение полости ЛП. Фазовый анализ деформации ЛП и проведение ДСТ позволяет своевременно диагностировать СНсФВ.
- Хроническая сердечная недостаточность (ХСН) является фактором риска развития тромбоэмболии легочной артерии (ТЭЛА).
- Наличие ХСН ассоциировано с осложненным течением ТЭЛА.
- Госпитальная летальность среди пациентов, включенных в регистр "СИРЕНА", статистически значимо выше в группе пациентов с ТЭЛА и ХСН.
Цель. Изучить влияние хронической сердечной недостаточности (ХСН) на течение тромбоэмболии легочной артерии (ТЭЛА) по данным российского регистра "СИРЕНА".
Материал и методы. Исследование было проведено на основании данных наблюдательного проспективного исследования — регистра "СИРЕНА". В регистр включались все последовательно госпитализированные пациенты, у которых любым доступным способом были выявлены признаки, позволяющие диагностировать наличие ТЭЛА. Длительность включения составила 12 мес., был оценен госпитальный период ведения пациентов. Информацию о включённых пациентах предоставили 20 стационаров из 15 российских городов.
Результаты. В настоящее исследование было включено 495 пациентов с ТЭЛА. ХСН была диагностирована в 38,6% случаев (n=191). Пациенты с сочетанием ТЭЛА и ХСН характеризовались значимо более высокой представленностью ишемической болезни сердца (32,5%), артериальной гипертензии (83,2%), фибрилляции предсердий (48,7%), сахарного диабета (42,4%), перенесенного острого нарушения мозгового кровообращения (17,3%), хронической болезни почек 3 стадии (49,7%). При объективном обследовании в группе пациентов с ТЭЛА и ХСН были выявлены достоверные различия в виде отечности нижних конечностей (p=0,001), набухания шейных вен (p=0,043), влажных хрипов в проекции нижних отделов легких (p=0,001), тахипноэ (p=0,001), цианоза кожных покровов (p=0,001). Кроме того, пациенты с ТЭЛА и ХСН характеризовались более низким уровнем сатурации (p=0,001), показателями систолического (p=0,006) и диастолического (p=0,005) артериального давления. При сравнении данных электрокардиографии единственным статистически значимым различием в сравниваемых группах была депрессия сегмента ST в группе пациентов с ТЭЛА и ХСН (22,5% vs 9,9%, p=0,036). По данным эхокардиографии у пациентов с ТЭЛА и ХСН чаще выявлялась легочная гипертензия (p=0,041), дилатация правого желудочка (p=0,048) и правого предсердия (p=0,023). Распространенность острой сердечной недостаточности, как одного из осложнений ТЭЛА, преобладала в группе пациентов с ТЭЛА и ХСН (p=0,023). Госпитальная летальность у пациентов с ТЭЛА и ХСН достигала 15,2% и достоверно отличалась от таковой в группе ТЭЛА без ХСН — 4,6% (р=0,047).
Заключение. Наличие ХСН у пациентов с ТЭЛА ассоциировано с высоким уровнем коморбидности пациентов, осложненным течением ТЭЛА и как следствие — повышением частоты возникновения летального исхода. Необходимо формирование настороженности по развитию вероятной ТЭЛА у пациентов с проявлениями декомпенсации ХСН.
- Проведен анализ долгосрочного прогноза у пациентов с имплантированными модуляторами сердечной сократимости с хронической сердечной недостаточностью (ХСН) и фибрилляцией предсердий (ФП).
- Изучен метод лечения — модуляция сердечной сократимости у пациентов с ХСН со сниженной фракцией выброса и ФП.
- Модуляция сердечной сократимости значимо улучшает долгосрочный 5-летний прогноз у пациентов с ХСН и ФП.
Цель. Оценить влияние модуляции сердечной сократимости (МСС) у пациентов с хронической сердечной недостаточностью со сниженной фракцией выброса (СНнФВ) и фибрилляцией предсердий (ФП) на выживаемость в долгосрочном 5-летнем наблюдении.
Материал и методы. Включено 200 пациентов с СНнФВ и ФП. Пациенты были последовательно включены в две группы: 1 группа — пациенты с хронической сердечной недостаточностью (ХСН), находящиеся на оптимальной медикаментозной терапии (ОМТ) в сочетании с имплантированными устройствами МСС (n=100); 2 группа — группа сравнения — пациенты с ХСН, получающие только ОМТ (n=100). Средний период наблюдения составил 40,5±20,4 мес. В качестве первичной конечной точки рассматривали сердечно-сосудистую смерть (ССС), за вторичную конечную точку была принята смерть от всех причин.
Результаты. В группе МСС в долгосрочном наблюдении зарегистрировано всего летальных исходов 24 (24%), в группе ОМТ 46 (46%). Частота первичной конечной точки — ССС через 5 лет наблюдения оказалась статистически значимо выше в группе ОМТ по сравнению с группой пациентов, которым имплантировали устройства МСС, и составила 38% и 19%, соответственно (критерий Log Rank <0,003). В группе МСС вторичная конечная точка — смерть от всех причин была достигнута в 26% случаев (n=26), в группе ОМТ — в 44% случаев. При сравнении выживаемости пациентов в группе МСС и группе сравнения с применением лог-ранг теста были выявлены статистически значимые различия (р=0,008). В структуре ССС необходимо выделить две основные причины — это внезапная сердечная смерть (ВСС) и смерть от декомпенсации ХСН. В группе МСС ВСС как причина ССС была значимо меньше, чем в группе ОМТ (МСС: n=6, 23%, ОМТ: n=16, 36%, р=0,039), частота смерти от декомпенсации ХСН не достигла статистически значимой разницы (МСС: n=8, 30%, ОМТ: n=17, 39%, р=0,085). Терапия МСС оказывает значимое влияние на снижение риска наступления как смерти от всех причин (относительный риск 0,591, 95% доверительный интервал: 0,397-0,879, р=0,009), так и ССС (относительный риск 0,474, 95% доверительный интервал: 0,290-0,771, р=0,003) в долгосрочном наблюдении.
Заключение. МСС значимо улучшает долгосрочный 5-летний прогноз у пациентов с ХСН и ФП.
ОЦЕНКА РИСКА
- Перенесенная тромбоэмболия легочной артерии (ТЭЛА) может приводить к долгосрочным неблагоприятным последствиям и ассоциироваться с длительной нетрудоспособностью пациентов.
- В настоящем исследовании обобщены данные стационарного и амбулаторного этапов ведения больных с ТЭЛА.
- Полученные результаты позволяют сделать вывод о недостаточной приверженности пациентов после выписки и актуализируют необходимость внедрения алгоритма амбулаторного ведения больных после ТЭЛА, что позволит своевременно выявлять осложнения и принимать решения о длительности антикоагулянтной терапии.
Цель. Изучение результатов долгосрочного наблюдения пациентов с тромбоэмболией легочной артерии (ТЭЛА) промежуточного и высокого риска тридцатидневной летальности.
Материал и методы. В ретроспективное исследование включено 53 пациента (45,3% мужчины) с ТЭЛА промежуточного и высокого риска, госпитализированных в ФГБУ "НМИЦ им. В. А. Алмазова" с 2019 по 2020гг. Средний период наблюдения составил 20,9 [4,0; 33,5] мес. Данные были получены из медицинской информационной системы, а также посредством телефонных звонков.
Результаты. 7 (13,2%) пациентов относились к категории высокого, 29 (54,7%) — к категории промежуточно-высокого и 17 (32,1%) — к категории промежуточно-низкого риска 30-дневной летальности. Системная тромболитическая терапия выполнялась в 11,3% случаях, селективный транскатетерный тромболизис в 24,5% случаях. Из 33 пациентов, данные которых оказались доступны, очные амбулаторные приемы посетили 23 (69,7%) пациента. Еще 10 (30,3%) пациентов были опрошены при телефонном контакте. Онкоскрининг был рекомендован 36 (73,5%) пациентам, при этом только в четверти случаев рекомендация была выполнена и у одного больного выявлен папиллярный рак щитовидной железы. Обследование на протромботические состояния рекомендовалось 20 (40,8%) пациентам, его прошли 12 (60,0%) больных, у 5 (41,6%) из которых были обнаружены наследственные тромбофилии. После выписки 15 (30,6%) пациентов выполнили контрольное эхокардиографическое исследование, и 8 (16,3%) пациентов повторную мультиспиральную компьютерную ангиопульмонографию. В двух случаях была констатирована хроническая тромбоэмболическая болезнь легких, у одного больного подтверждена хроническая тромбоэмболическая легочная гипертензия. При выписке 30 (61,2%) пациентам назначались прямые оральные антикоагулянты, 15 (30,5%) — антагонисты витамина К, 4 (8,2%) — низкомолекулярный гепарин. Медиана длительности приема антикоагулянтов составила 22 [7,5; 31,5] мес., при этом 20 (69,0%) пациентов получали антикоагулянты >12 мес. Кровотечения на амбулаторном этапе отмечались у 4 (13,8%) пациентов, и все относились к малым по классификации Международного общества по тромбозу и гемостазу (ISTH). Не было отмечено ни одного рецидива тромбоза глубоких вен и/или ТЭЛА. После выписки зарегистрировано 3 (6,1%) летальных исхода, причины которых неизвестны. Годичная выживаемость составила 88%.
Заключение. Наблюдается недостаточная приверженность пациентов в отношении рекомендаций при выписке и низкая преемственность стационарного и амбулаторного этапов в лечении пациентов с легочной эмболией. Требуется дальнейшее внедрение алгоритма амбулаторного ведения пациентов после ТЭЛА, который позволит принимать решения об антикоагулянтной терапии и эффективно и своевременно выявлять последствия перенесенной легочной эмболии.
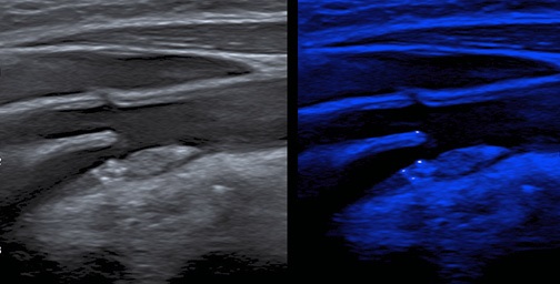
- Впервые применена новая ультразвуковая технология MicroPure для выявления микрокальциноза в атеросклеротической бляшке (АСБ) сонной артерии у пациентов с острым коронарным синдромом и стабильной ишемической болезнью сердца.
- У пациентов с острым коронарным синдромом микрокальцинаты в АСБ сонной артерии встречаются чаще, чем у пациентов с ишемической болезнью сердца.
- Выявление микрокальцинатов с помощью ультразвукового исследования может быть важным признаком нестабильности АСБ.
Цель. Оценить возможности ультразвуковой технологии MicroPure для выявления микрокальциноза в атеросклеротической бляшке (АСБ) сонной артерии у пациентов с острым коронарным синдромом (ОКС).
Материал и методы. Обследовано 50 пациентов с сердечно-сосудистыми заболеваниями (65,62±11,12 лет, 34 муж.), из них 25 пациентов ОКС (64,0±11,5 лет, 19 муж.) и 25 пациентов с хронической ишемической болезнью сердца (ИБС) (67,2±10,7 лет, 15 муж.). Пациентам было проведено стандартное клиниколабораторное обследование и ультразвуковое исследование сонных артерий на системе Canon Aplio a550 (Япония) с линейным датчиком с частотой 14,0 МГц. Сканирование выявленных АСБ проводили в В-режиме и режиме MicroPure для анализа микрокальцинатов (МК). Оценивали факт наличия МК в АСБ, количество МК (единичные или множественные), локализацию МК в АСБ (в покрышке, в теле, в основании, сочетанная локализация).
Результаты. МК в АСБ были выявлены у всех пациентов с ОКС, тогда как в группе пациентов с ИБС в 2 раза реже (100% vs 48%, p=0,0001). МК чаще выявлялись в покрышке и в теле АСБ у пациентов группы ОКС, чем в АСБ пациентов группы ИБС (43% vs 23%, р=0,0125 и 55,4% vs 14,6%, р<0,001, соответственно). В обеих группах выявлялись как единичные, так и множественные МК, в группе ОКС 26,3% и 73,7%, в группе ИБС 28,12% и 71,8%, соответственно (р>0,05).
Заключение. У пациентов с ОКС выявлено статистически значимое преобладание МК АСБ сонных артерий по сравнению с пациентами с ИБС. Выявление МК с помощью новых ультразвуковых технологий может быть важным признаком нестабильности АСБ.
КЛИНИКА И ФАРМАКОТЕРАПИЯ
- Неэффективная гиполипидемическая терапия является значимым предиктором неблагоприятных исходов у больных, переживших острый коронарный синдром (ОКС).
- Липидный центр имеет потенциал базового учреждения для проведения гиполипидемической терапии после ОКС.
- Гиполипидемическая терапия в условиях липидного центра характеризовалась более ранним и частым использованием комбинированного лечения, в т.ч. с ингибиторами PCSK9, высокой степенью соответствия актуальным алгоритмам клинических рекомендаций.
Цель. Оценить эффективность гиполипидемической терапии (ГЛТ), проводимой в условиях липидного центра (ЛЦ) больным с перенесенным острым коронарным синдромом (ОКС) и выраженной дислипидемией; исследовать ее влияние на прогноз.
Материал и методы. В течение 18 мес. наблюдался 81 пациент, переживший ОКС и имевший уровень холестерина низкой плотности (ХС ЛНП) >3,9 ммоль/л во время госпитализации. При выписке всем предложили проведение ГЛТ на базе ЛЦ; отказались 53 (группа 1) и согласились 28 (группа 2) человек. На контрольных визитах через 3, 6 и 12 мес. в обеих группах оценили ХС ЛНП и характер ГЛТ. Через 18 мес. оценили неблагоприятные исходы (смерть, повторные госпитализации).
Результаты. ГЛТ в условиях ЛЦ отличалась более ранним и частым использованием комбинированного лечения. Решение о начале PCSK9-таргетной терапии в случае недостижения целей ГЛТ другими средствами в ЛЦ принималось в 3,6 раз чаще (р=0,00001) и в 2,2 раза быстрее (р=0,003), чем в рутинной поликлинической практике. На момент визита "3 месяца после ОКС" целевой уровень ХС ЛНП имели 14,7% больных в 1 и 25% больных во 2 группе (р=0,24), на визите "6 месяцев" — 18,4% и 63% больных (р=0,005), через год — 20% и 85,7% участников, соответственно (р=0,00001). Целесообразность использования ЛЦ в качестве базового учреждения для ГЛТ подтверждалась улучшением прогноза при полуторагодичном наблюдении (особенно в отношении повторных госпитализаций, которые возникали в 5,8 раз реже, чем в поликлинической практике, р=0,00001). Срок до начала приема ингибиторов PCSK9 прямо коррелировал с потребностью в повторных госпитализациях при дальнейшем наблюдении (R=0,46; р=0,007). В первые 12 мес. терапии гиполипидемический эффект инклисирана и моноклональных антител (алирокумаб, эволокумаб) у переживших ОКС больных оказался сопоставимым.
Заключение. Липидный центр относится к подразделениям медицинских организаций, имеющим большой потенциал для квалифицированного сопровождения ГЛТ у лиц с перенесенным ОКС и выраженной дислипидемией, на базе которых можно обеспечить высокую степень соответствия врачебных мероприятий актуальным алгоритмам клинических рекомендаций.
- В Северо-Кавказском федеральном округе проведено многоцентровое исследование, оценившее динамику липидного профиля у пациентов с высоким, очень высоким и экстремальным сердечно-сосудистым риском в условиях клинической практики.
- Системный мониторинг позволил увеличить долю пациентов, получающих гиполипидемическую терапию, с 69,2% до 98,8%.
- Целевых значений холестерина липопротеинов низкой плотности удалось достичь лишь у 8,9% пациентов, что подчёркивает необходимость более раннего начала комбинированной терапии, включая PCSK9-таргетную терапию, персонализированного подхода и внедрения современных клинических рекомендаций в практику первичного звена.
Цель. Оценить показатели липидного обмена, их динамику на фоне гиполипидемической терапии и частоту достижения целевых уровней холестерина липопротеинов низкой плотности (ХС ЛНП) у пациентов с высоким, очень высоким и экстремальным сердечно-сосудистым риском, находящихся под диспансерным наблюдением в условиях реальной клинической практики.
Материал и методы. Проведено многоцентровое ретроспективно-проспективное наблюдательное исследование в медицинских организациях Северо-Кавказского федерального округа. Включены 1006 пациентов старше 18 лет с высоким (n=357), очень высоким (n=601) и экстремальным (n=42) сердечно-сосудистым риском. Использовались электронные индивидуальные регистрационные карты, включавшие демографические и клинические характеристики, динамику липидного профиля, схемы терапии и её переносимость. Контроль показателей липидов проводился минимум дважды с интервалом 8±4 нед. Применялись методы описательной и сравнительной статистики с использованием SPSS Statistics 25 и R. Значимыми считались различия при p<0,05.
Результаты. На момент включения в исследование 84% пациентов имели дислипидемию, однако гиполипидемическую терапию получали только 69,2%. После включения доля получающих лечение увеличилась до 98,8%. Средний уровень ХС ЛНП снизился с 3,7 до 2,7 ммоль/л, а общий холестерин — с 5,7 до 4,8 ммоль/л. Целевые значения ХС ЛНП достигнуты у 8,9% пациентов. Наиболее выраженное снижение наблюдалось у пациентов очень высокого риска и при использовании комбинированной терапии (статины + эзетимиб). Установлена высокая индивидуальная вариабельность ответа на лечение, в отдельных случаях регистрировался парадоксальный рост уровня ХС ЛНП, требующий дальнейшего анализа.
Заключение. Организация системного мониторинга и коррекции гиполипидемической терапии позволяет добиться значимого снижения уровня атерогенных липидов, особенно в группе очень высокого риска. Тем не менее достижение целевых уровней ХС ЛНП остаётся затруднённым. Необходима ранняя и более широкая инициация комбинированной терапии, регулярная оценка приверженности и применение персонализированного подхода, особенно у пациентов с экстремальным риском. Полученные данные подчеркивают важность внедрения современных клинических рекомендаций в практику первичного звена здравоохранения.
- Двойная антиагрегантная терапия (ДААТ), назначенная пациентам, перенесшим инфаркт миокарда, в значительной степени предотвращает тромботические осложнения, прежде всего повторный инфаркт миокарда.
- Получены убедительные данные, что переход от ДААТ на монотерапию тикагрелором через 1-3 мес. после события приводит к значительному снижению риска кровотечений без увеличения частоты тромботических осложнений по сравнению с ДААТ в течение 12 мес.
Известно, что риск тромботических осложнений у пациентов с острым коронарным синдромом (ОКС) наиболее высок в первый год после события. Независимо от тактики лечения, в течение года после назначают двойную антиагрегантную терапию (ДААТ). ДААТ в значительной степени предотвращает тромботические осложнения, прежде всего повторный инфаркт миокарда. При этом закономерно повышается риск кровотечений. За последние годы получены убедительные данные, что переход от ДААТ на монотерапию тикагрелором через 1-3 мес. после события приводит к значительному снижению риска кровотечений без увеличения частоты тромботических осложнений по сравнению с ДААТ в течение 12 мес. В обзоре проанализированы данные рандомизированных клинических исследований по сравнению ДААТ и монотерапии тикагрелором у больных ОКС и представлены положения российских и международных клинических рекомендаций по лечению ОКА, касающиеся монотерапии тикагрелором.
Целью обзора является обоснование преимущества монотерапии тикагрелором по сравнению со стандартной ДААТ у пациентов с ОКС и чрескожным коронарным вмешательством с помощью детального анализа рандомизированных контролируемых исследований и метаанализов. В практической части приведены соответствующие разделы клинических рекомендаций.
СОВЕТ ЭКСПЕРТОВ
Ведущей проблемой при применении терапии антагонистами витамина К (АВК) является сложность и одновременно жесткая необходимость поддержания международного нормализованного отношения (МНО) в пределах терапевтического "окна" не менее 60% времени лечения. Очевидно, что оптимальным решением данной проблемы в условиях современных технологических возможностей является контроль самим пациентом данного показателя и понимание необходимости корректировки дозы АВК (варфарина) для достижения нужных значений МНО (самостоятельно или с помощью консультации врача). Разработка портативных приборов и применение модели самоконтроля антикоагулянтной терапии (коагулометров) позволила уменьшить число тромбоэмболических осложнений, снизить число крупных кровотечений и общей смертности, подтвердив и свою высокую экономическую эффективность.
Важным компонентом успешного самоконтроля МНО является комплексное обучение пациентов, реализуемое в рамках специализированных школ. Подобные образовательные программы предоставляют пациентам необходимые знания о варфарине, важности регулярного контроля МНО, принципах самоконтроля, возможных осложнениях и действиях в нештатных ситуациях. Комбинация структурированного обучения и последующего самоконтроля МНО способствует значительному повышению приверженности терапии и улучшению клинических исходов. Результаты систематических обзоров и рандомизированных исследований подтверждают, что участие пациентов в образовательных программах снижает риск тромбоэмболических и геморрагических осложнений и повышает общую эффективность лечения. Целью работы было — сформулировать ключевые аспекты организации работы школы для пациентов, принимающих АВК. Сочетание использования образовательных программ, активного наблюдения, применения коагулометров, дистанционного мониторинга формирует целостную модель ведения пациентов, получающих АВК, соответствующую современным требованиям клинической эффективности, безопасности и экономической целесообразности.
ISSN 2618-7620 (Online)






































