Перейти к:
Микрокальциноз в атеросклеротической бляшке сонной артерии - признак нестабильности?
https://doi.org/10.15829/1560-4071-2025-6170
EDN: BFQLNO
Аннотация
Цель. Оценить возможности ультразвуковой технологии MicroPure для выявления микрокальциноза в атеросклеротической бляшке (АСБ) сонной артерии у пациентов с острым коронарным синдромом (ОКС).
Материал и методы. Обследовано 50 пациентов с сердечно-сосудистыми заболеваниями (65,62±11,12 лет, 34 муж.), из них 25 пациентов ОКС (64,0±11,5 лет, 19 муж.) и 25 пациентов с хронической ишемической болезнью сердца (ИБС) (67,2±10,7 лет, 15 муж.). Пациентам было проведено стандартное клиниколабораторное обследование и ультразвуковое исследование сонных артерий на системе Canon Aplio a550 (Япония) с линейным датчиком с частотой 14,0 МГц. Сканирование выявленных АСБ проводили в В-режиме и режиме MicroPure для анализа микрокальцинатов (МК). Оценивали факт наличия МК в АСБ, количество МК (единичные или множественные), локализацию МК в АСБ (в покрышке, в теле, в основании, сочетанная локализация).
Результаты. МК в АСБ были выявлены у всех пациентов с ОКС, тогда как в группе пациентов с ИБС в 2 раза реже (100% vs 48%, p=0,0001). МК чаще выявлялись в покрышке и в теле АСБ у пациентов группы ОКС, чем в АСБ пациентов группы ИБС (43% vs 23%, р=0,0125 и 55,4% vs 14,6%, р<0,001, соответственно). В обеих группах выявлялись как единичные, так и множественные МК, в группе ОКС 26,3% и 73,7%, в группе ИБС 28,12% и 71,8%, соответственно (р>0,05).
Заключение. У пациентов с ОКС выявлено статистически значимое преобладание МК АСБ сонных артерий по сравнению с пациентами с ИБС. Выявление МК с помощью новых ультразвуковых технологий может быть важным признаком нестабильности АСБ.
Ключевые слова
Для цитирования:
Балахонова Т.В., Погорелова О.А., Кошурникова М.В., Трипотень М.И., Бойцов С.А. Микрокальциноз в атеросклеротической бляшке сонной артерии - признак нестабильности? Российский кардиологический журнал. 2025;30(9):6170. https://doi.org/10.15829/1560-4071-2025-6170. EDN: BFQLNO
For citation:
Balakhonova T.V., Pogorelova O.A., Koshurnikova M.V., Tripoten M.I., Boytsov S.A. Carotid plaque microcalcification — a sign of instability? Russian Journal of Cardiology. 2025;30(9):6170. (In Russ.) https://doi.org/10.15829/1560-4071-2025-6170. EDN: BFQLNO
Нестабильные атеросклеротические бляшки (АСБ) в каротидном бассейне являются непосредственной причиной острых ишемических и коронарных событий у пациентов с атеросклерозом. Выявление признаков высокого риска АСБ сонных артерий (СА) имеет важные клинические последствия для точной стратификации риска. Согласно концепции "нестабильный пациент — нестабильная бляшка" у пациентов с острым коронарным синдромом (ОКС) АСБ с признаками нестабильности обнаруживают на разных участках артерий [1]. С помощью ультразвуковых методов визуализации можно выявить следующие критерии нестабильной АСБ: гипоэхогенная и анэхогенная структура АСБ, неоднородная структура АСБ, особенно с прилежащим к просвету гипоэхогенным компонентом, неровная поверхность АСБ, наличие неоваскуляризации АСБ, наличие точечной кальцификации [2]. Локальный кальциноз в АСБ СА рассматривают как один из дополнительных признаков (ancillary features) нестабильной АСБ при стратификации риска инсульта в классификации АСБ PlaqueRADS 2024г наряду c положительным ремоделированием, воспалительными изменениями в периваскулярной жировой ткани СА, выраженностью АСБ СА и прогрессированием процента стеноза [3]. Показано в ряде исследований, что кальцификация бляшек развивается в результате зависимых от воспаления механизмов и участвует в прогрессировании и регрессии атеросклероза. При прогрессировании АСБ преобладающие провоспалительные макрофаги способствуют начальному отложению кальция в некротическом ядре, что называется микрокальцификацией [4]. В результате разрешения хронического воспаления происходит макроскопическое отложение кальция в АСБ, что называется макрокальцинозом, что говорит о стабильности АСБ. Известно, что сосудистая кальцификация является независимым фактором риска сердечно-сосудистых заболеваний, изучается клиническое применение биохимических маркеров в качестве значимых предикторов сердечно-сосудистых заболеваний и событий [5].
В настоящее время выявить кальциноз СА можно с помощью различных методов визуализации: магнитно-резонансной, позитронно-эмиссионной, компьютерной томографии (КТ) и ультразвукового исследования (УЗИ). Новые ультразвуковые технологии позволяют по-новому посмотреть на визуализацию кальциноза в АСБ. Литературные данные о применении ультразвуковой технологии MicroPure для визуализации микрокальциноза в АСБ СА малочисленны.
Целью нашего исследования было определить возможности ультразвуковой технологии MicroPure для выявления микрокальциноза в АСБ СА у пациентов с ОКС.
Материал и методы
Исследование было проведено в лаборатории ультразвуковых методов исследования сосудов Института клинической кардиологии им. А. Л. Мясникова ФГБУ "НМИЦ Кардиологии им. акад. Е. И. Чазова" Минздрава России. В исследование включено 50 пациентов с сердечно-сосудистыми заболеваниями (средний возраст 65,62±11,12, 34 мужчины). Первую группу составили 25 пациентов, перенесшие ОКС (средний возраст 64,0±11,5 года, 19 мужчин). Вторую группу — 25 пациентов с хронической ишемической болезнью сердца (ИБС) (средний возраст 67,2±10,7 лет, 15 мужчин).
Пациенты прошли стандартное обследование с применением клинико-лабораторных методов исследования в зависимости от диагноза и сопутствующей патологии и УЗИ экстракраниального отдела брахиоцефальных артерий по описанной ранее методике [6].
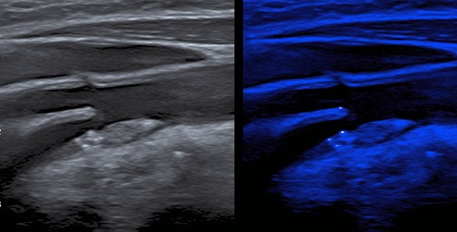
УЗИ экстракраниального отдела брахиоцефальных артерий проводили на ультразвуковом сканере Canon Aplio a550 (Япония), с линейным датчиком с частотой 14,0 МГц. АСБ считали локальное образование, выступающее в просвет артерии как минимум на 0,5 мм от величины окружающей толщины комплекса интима-медиа (ТИМ), или на величину, равную 50% от величины окружающей ТИМ, или образование с увеличением ТИМ >1,5 мм. Степень стенозирования СА определяли по критериям ECST (European Carotid Surgery Trial) (исходный диаметр артерии в месте стеноза/диаметр просвета артерии в месте стеноза × 100%). Визуализацию выявленных АСБ проводили в В-режиме и режиме MicroPure, где оценивалось наличие микрокальцинатов (МК), отображаемых в виде точечных флуоресцентных сигналов на синем фоне (рис. 1). Оценивали факт наличия МК в АСБ, количество МК (единичные или множественные), локализацию МК в АСБ (в покрышке, в теле, в основании, сочетанная локализация). Множественные МК определяли при наличии ≥3 флуоресцентных сигналов в АСБ [7]. Клиническая характеристика больных, включенных в исследование, представлена в таблице 1.

Рис. 1. Ультразвуковое изображение АСБ в области бифуркации общей СА и устье внутренней СА в двойном режиме: слева изображение в В-режиме, справа — в режиме MicroPure.
Примечание: цветное изображение доступно в электронной версии журнала.
Таблица 1
Клиническая характеристика пациентов
| 
 Пациенты с ОКС (n=25)  | 
 Пациенты с ИБС (n=25)  | 
 P  | 
|
| 
 Возраст, лет  | 
 64,0±11,5  | 
 67,2±10,7  | 
 р>0,05  | 
| 
 Мужчины, n (%)  | 
 19 (76%)  | 
 15 (60%)  | 
 р>0,05  | 
| 
 Курение, n (%)  | 
 12 (48%)  | 
 11 (45%)  | 
 р>0,05  | 
| 
 АГ, n (%)  | 
 23 (92%)  | 
 22 (88%)  | 
 р>0,05  | 
| 
 СД, n (%)  | 
 7 (28%)  | 
 7 (28%)  | 
 р>0,05  | 
| 
 Глюкоза  | 
 5,6 [ 5,25; 7,25]  | 
 5,1 [ 4,6; 5,7]  | 
 р=0,02  | 
| 
 ОХС, ммоль/л  | 
 4,85 [ 4,2; 5,65]  | 
 3,66 [ 3,27; 4,42]  | 
 р=0,004  | 
| 
 ТГ, ммоль/л  | 
 1,31 [ 1,17; 1,75]  | 
 1,22 [ 0,81; 1,54]  | 
 р>0,05  | 
| 
 ХС ЛНП, ммоль/л  | 
 2,81 [ 2,55; 3,78]  | 
 1,9 [ 1,59; 2,75]  | 
 р=0,002  | 
| 
 ХС ЛВП, ммоль/л  | 
 0,95 [ 0,82; 1,12]  | 
 1,18 [ 0,93; 1,53]  | 
 р=0,02  | 
| 
 ИМТ, кг/м²  | 
 27,5 [ 25,5; 30,0]  | 
 27 [ 25; 30]  | 
 р>0,05  | 
Сокращения: АГ — артериальная гипертония, ИБС — ишемическая болезнь сердца, ИМТ — индекс массы тела, ОКС — острый коронарный синдром, ОХС — общий холестерин, СД — сахарный диабет, ТГ — триглицериды, ХС ЛВП — холестерин липопротеинов высокой плотности, ХС ЛНП — холестерин липопротеинов низкой плотности.
Группы были сопоставимы по полу, возрасту, наличию факта курения, основным факторам риска атеросклероза. В группе пациентов с ОКС уровни общего холестерина и холестерина липопротеинов низкой плотности были достоверно выше, уровень холестерина липопротеинов высокой плотности достоверно ниже, чем в группе пациентов с ИБС. Выраженность атеросклероза СА в обеих группах была сопоставима. Стенозы СА составили от 20 до 85% в обеих группах.
Статистический анализ проведен при помощи программы Statistica 6.0. Количественные переменные описаны медианой и интерквартильным размахом (Me) [ Q25; Q75] или средним и стандартным отклонением (M±SD). Качественные показатели описаны относительными частотами в процентах. Оценка различий между независимыми группами для непрерывных показателей проводится при помощи критерия Манна-Уитни, для дискретных — при помощи точного теста Фишера. Значимость различий для всех проверяемых гипотез устанавливали на уровне р<0,05.
Результаты
Нами было проанализировано 74 АСБ пациентов группы ОКС и 82 АСБ пациентов группы с ИБС. МК в АСБ были выявлены у всех пациентов с ОКС, тогда как в группе пациентов с ИБС в 2 раза реже (100% vs 48%, p=0,0001) (рис. 2 А).
В группе пациентов с ОКС достоверно чаще выявлялись АСБ с наличием МК (77% vs 39%, р=0,047) (рис. 2 Б). Также МК достоверно чаще выявлялись в покрышке и в теле АСБ у пациентов группы ОКС, чем в АСБ пациентов группы ИБС (43% vs 23%, р=0,0125 и 55,4% vs 14,6%, р<0,001, соответственно) (табл. 2).

Рис. 2. Наличие МК в АСБ СА (MicroPure) у пациентов с ОКС по сравнению со стабильной ИБС. А) частота МК у пациентов ОКС и ИБС, Б) частота МК в АСБ СА у пациентов ОКС и ИБС.
Сокращения: АСБ — атеросклеротическая бляшка, ИБС — ишемическая болезнь сердца, МК — микрокальцинаты, ОКС — острый коронарный синдром.
Таблица 2
Сравнение параметров МК в АСБ пациентов ОКС и ИБС
| 
 Группа ОКС, N=74 АСБ  | 
 Группа ИБС, N=82 АСБ  | 
 р  | 
|
| 
 Стеноз АСБ СА, %  | 
 45 [ 32,5; 57,5]  | 
 45 [ 35; 60]  | 
 >0,05  | 
| 
 Наличие МК, n (%)  | 
 57 (77)  | 
 32 (39)  | 
 0,047  | 
| 
 МК в покрышке, n (%)  | 
 32 (43)  | 
 19 (23)  | 
 0,0125  | 
| 
 МК в теле, n (%)  | 
 41 (55,4)  | 
 12 (14,6)  | 
 <0,001  | 
| 
 МК в основании, n (%)  | 
 10 (13,5)  | 
 10 (12,2)  | 
 >0,05  | 
| 
 Сочетанная локализация МК, n (%)  | 
 38 (51,3)  | 
 15 (18,3)  | 
 0,0001  | 
Сокращения: АСБ — атеросклеротическая бляшка, ИБС — ишемическая болезнь сердца, МК — микрокальцинаты, ОКС — острый коронарный синдром, СА — сонная артерия.
В обеих группах равно выявлялись как единичные, так и множественные МК, в группе ОКС 26,3% и 73,7%, в группе ИБС 28,12% и 71,8%, соответственно (р>0,05).
Обсуждение
Распределение и характер кальцификации бляшек СА играют важную роль в определении стабильности бляшек [8]. Некоторые формы кальциноза, такие как "кольцевидное усиление" в гиподенсных АСБ (по данным КТ-ангиографии), указывают на наличие воспалительной активности и внутрибляшечного кровоизлияния. Другие формы, такие как распространенные узловатые кальцинаты, могут придавать большую механическую стабильность АСБ, и соответствуют меньшему риску эмболизации. Показано, что мелкие и фрагментированные кальцинаты коронарных бляшек ассоциируются с более высокой степенью нестабильности АСБ [9]. Поверхностные и множественные кальцинаты ассоциированы с внутрибляшечными кровоизлияниями и как следствие повышенным риском инсульта [10]. Локальный кальциноз СА может быть предиктором неблагоприятных цереброваскулярных событий [3].
Современные методы визуализации позволяют использовать различные подходы для оценки геометрии, характера распределения, размера и состава кальцификации СА. В данном пилотном исследовании мы попытались оценить возможности ультразвуковой технологии MicroPure для выявления микрокальциноза в АСБ СА у пациентов с ОКС, у которых выявляют нестабильные АСБ в коронарных артериях и в других сосудистых бассейнах [1].
Технология MicroPure состоит в оптимизации ультразвукового изображения, разработанной для улучшения визуализации МК. По сравнению с изображением в В-режиме изображение MicroPure позволяет выделить изолированные точки и улучшить очертания микрокальцификаций относительно окружающей ткани. При ультразвуковом сканировании МК видны точечными флуоресцентными сигналами белого цвета на синем фоне и хорошо заметны для наблюдения.
Применение MicroPure позволяет определить точечный кальциноз в АСБ с хорошей чувствительностью и специфичностью по сравнению с позитронно-эмиссионной КТ (ПЭТ КТ). ПЭТ КТ с 18F-NaF в настоящее время является единственным неинвазивным методом определения микрокальцификации в АСБ [11]. В исследовании Ruan W, et al. (2021) авторы оценивали возможности метода MicroPure в определении МК в АСБ СА по сравнению с ПЭТ КТ [8]. УЗИ с технологией MicroPure показало чувствительность 81,08% и специфичность 71,43% в выявлении МК при сравнении с ПЭТ КТ. Не было существенных различий по частоте выявления МК (р=0,180) при применении двух методов.
Выявление МК с помощью ультразвуковой технологии MicroPure может быть новым маркером для оценки стабильности АСБ в дополнение к традиционным ультразвуковым признакам нестабильных АСБ. Yang S, et al. (2021) провели исследование, целью которого был анализ эффективности использования метода MicroPure для оценки нестабильности АСБ СА [12]. Было проанализировано 142 АСБ у 72 пациентов с острым нарушением мозгового кровообращения и транзиторной ишемической атаке, в возрасте 65 лет, с ≥1 фактором риска атеросклероза. МК с помощью MicroPure были выявлены в 62% бляшек. АСБ с наличием МК характеризовались большей длиной, высотой АСБ и склонностью к разрыву АСБ. 78,4% бляшек с МК были определены как нестабильные и только 37,0% из АСБ без МК (p<0,001). При проведении ROC-анализа чувствительность и специфичность в выявлении нестабильных бляшек составила 71,9 и 73,6%, соответственно.
В исследовании Forsberg F, et al. изучали возможности двух методов обработки ультразвукового изображения АСБ (MicroPure и SMI — superb microvascular imaging), позволяющих оценить такие биомаркеры нестабильных АСБ, как микрокальцификация и неоваскуляризация у пациентов перед каротидной эндартерэктомией [13]. MicroPure и SMI сравнивались с обычным УЗИ, КТ-ангиографией и патоморфологическим исследованием. МК с помощью MicroPure были обнаружены во всех АСБ и это было подтверждено патоморфологическим исследованием. Однако результаты, полученные с помощью MicroPure, статистически значимо не были связаны с другими показателями оценки неоваскуляризации в АСБ (p>0,13). Авторами был сделан вывод, что метод SMI имеет потенциал для оценки нестабильности бляшек, тогда как метод MicroPure представляется менее эффективным применительно к оценке состояния СА.
Признаки нестабильности АСБ СА у пациентов ОКС были изучены с помощью традиционного УЗИ [6][14]. В исследовании, проведенном ранее, мы рассматривали локальный кальциноз как небольшие гиперэхогенные участки в теле АСБ с ультразвуковой тенью и без нее (размерами до 2,0 мм) при визуальной оценке изображения в В-режиме [6]. У больных ОКС при УЗИ СА чаще встречались такие признаки нестабильной АСБ, как гетерогенная структура, гипоэхогенный компонент, неровная поверхность, муральный рост и "слоистая" структура АСБ по сравнению с больными стабильной ИБС. Нами не было выявлено статистически значимых отличий по параметру локального кальциноза АСБ в каротидном бассейне у больных ОКС и стабильной ИБС — 23,2 и 23,4%, соответственно. При исследовании пациентов с ОКС старческого возраста признаки нестабильности АСБ по данным УЗИ были выявлены в 85,2% случаев, локальный кальциноз в АСБ СА выявлен в 19,4% случаев, показана высокая сопоставимость УЗИ и КТ (К=0,864, р<0,001) [14].
Применение новой ультразвуковой технологии MicroPure в настоящем исследовании выявило МК в АСБ СА у всех пациентов с ОКС по сравнению с ИБС (100% vs 48%, p=0,0001). У пациентов ОКС достоверно чаще выявлялись АСБ с наличием МК (77% vs 39%, р=0,047) по сравнению с ИБС. Эти данные сопоставимы с данными Yang S, et al. (2021), в которых большинство нестабильных бляшек имели МК по данным MicroPure [10]. В нашем исследовании МК у пациентов с ОКС чаще встречались в покрышке АСБ, в теле АСБ, но не в основании (рис. 3-5). В исследовании Yang S, et al. процент нестабильных АСБ был выше в случае расположения множественных и единичных МК на поверхности АСБ, по сравнению с АСБ без МК по данным MicroPure (p<0,001 и p=0,007, соответственно). Связь поверхностного распределения кальцификации с низкой плотностью кальцинатов по данным мультиспиральной КТ может свидетельствовать о потенциальной нестабильности АСБ. Так, при сопоставлении данных мультиспиральной КТ о плотности кальциевых депозитов и локализации их в АСБ отмечено статистически достоверное преобладание низкой эквивалентной плотности кальциевых депозитов при поверхностном кальцинозе АСБ (р=0,002) [15]. Vengrenyuk Y, et al. с помощью математических моделей показали, что МК, внедренные в фиброзную покрышку, могут вызывать локальные концентрации напряжений, которые могут отрицательно влиять на биомеханическую стабильность покрышки АСБ [16]. По данным Yang S, et al. (2018), поверхностные и множественные кальцификаты в АСБ СА связаны с внутрибляшечными кровоизлияниями СА, и они могут служить суррогатным маркером АСБ высокого риска [10]. Выявление МК в покрышке АСБ с помощью новых ультразвуковых технологий может быть важным признаком нестабильности АСБ.

Рис. 3. Ультразвуковое изображение АСБ с единичным МК в покрышке в режиме MicroPure.
Примечание: цветное изображение доступно в электронной версии журнала.

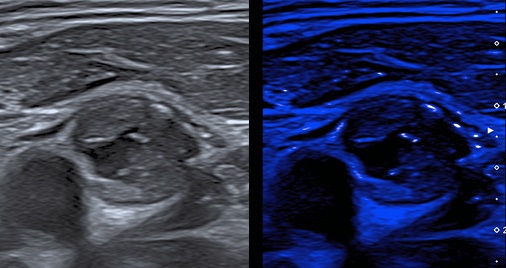
Рис. 4. Ультразвуковое изображение АСБ с множественными МК в режиме MicroPure.
Примечание: цветное изображение доступно в электронной версии журнала.

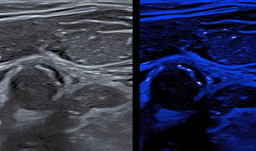
Рис. 5. Ультразвуковое изображение АСБ с множественными МК в покрышке в режиме MicroPure.
Примечание: цветное изображение доступно в электронной версии журнала.
Ограничения исследования. Не было сделано сравнения частоты выявления МК, определяемых с помощью режима MicroPure и традиционного В-режима.
Заключение
Обсуждаемые в литературе фенотипы кальциноза АСБ, в т.ч. микрокальциноз, представляют собой актуальную проблему диагностики и могут определять клиническую значимость АСБ. У пациентов с ОКС выявлено статистически значимое преобладание МК АСБ СА по сравнению с пациентами с ИБС. МК в покрышке и теле АСБ чаще встречались у пациентов с ОКС по сравнению с ИБС. Выявление МК в покрышке АСБ с помощью новых ультразвуковых технологий может быть важным признаком нестабильности АСБ.
Отношения и деятельность: все авторы заявляют об отсутствии потенциального конфликта интересов, требующего раскрытия в данной статье.
Список литературы
1. Naghavi M, Libby P, Falk E, et al. From vulnerable plaque to vulnerable patient: a call for new definitions and risk assessment strategies: Part I. Circulation. 2003;108(14):166472. doi:10.1161/01.CIR.0000087480.94275.97.
2. Picano E, Paterni M. Ultrasound tissue characterization of vulnerable atherosclerotic plaque. Int J Mol Sci. 2015;16(5):10121-33. doi:10.3390/ijms160510121.
3. Saba L, Cau R, Murgia A, et al. Carotid Plaque-¬¬RADS: A Novel Stroke Risk Classification System. JACC: Cardiovascular Imaging. 2024;17(1):62-75. doi:10.1016/j.jcmg.2023.09.005.
4. Shioi A, Ikari Y. Plaque Calcification During Atherosclerosis Progression and Regression. Journal of Atherosclerosis and Thrombosis. 2018;25(4):294-303. doi:10.5551/jat.RV17020.
5. Рагино Ю.И., Каштанова Е.В., Мурашов И.С. и др. Исследование биохимических факторов кальцификации стабильных и нестабильных бляшек в коронарных артериях человека. Кардиология. 2020;60(2):83-8. doi:10.18087/cardio.2020.2.n775.
6. Погорелова О.А., Трипотень М.И., Гучаева Д.А. и др. Признаки нестабильности атеросклеротической бляшки в сонных артериях у больных с острым коронарным синдромом по данным ультразвукового дуплексного сканирования. Кардиология. 2017;57(12):5-15. doi:10.18087/cardio.2017.12.1006.
7. Ruan W, He Y, Shao X, et al. The ability of MicroPure® ultrasound technique to identify microcalcifications in carotid plaques. Clin Neurol Neurosurg. 2021;201:106401. doi:10.1016/j.clineuro.2020.106401.
8. Saba L, Nardi V, Cau R, et al. Carotid Artery Plaque Calcifications: Lessons From Histopathology to Diagnostic Imaging. Stroke. 2022;53(1):290-7. doi:10.1161/STROKEAHA.121.035692.
9. Pugliese L, Spiritigliozzi L, Di Tosto F, et al. Association of plaque calcification pattern and attenuation with instability features and coronary stenosis and calcification grade. Atherosclerosis. 2020;311:150-7. doi:10.1016/j.atherosclerosis.2020.06.021.
10. Yang J, Pan X, Zhang B, et al. Superficial and multiple calcifications and ulceration associate with intraplaque hemorrhage in the carotid atherosclerotic plaque. Eur Radiol. 2018;28(12):4968-77. doi:10.1007/s00330-018-5535-7.
11. Patil S, Teichner E, Subtirelu R, et al. Bilateral Carotid Artery Molecular Calcification Assessed by [18F] Fluoride PET/CT: Correlation with Cardiovascular and Thromboembolic Risk Factors. Life (Basel). 2023;13(10):2070. doi:10.3390/life13102070.
12. Yang S, Cai J, He Y, et al. Usability of Ultrasonic MicroPure Imaging for Evaluating the Vulnerability of Carotid Atherosclerotic Plaques. J Ultrasound Med. 2021;40(12):272734. doi:10.1002/jum.15671.
13. Forsberg F, Machado P, Stanczak M, et al. Assessing carotid plaque neovascularity and calcifications in patients prior to endarterectomy. J Vasc Surg. 2019;70(4):1137-44. doi:10.1016/j.jvs.2019.02.020.
14. Константинова E.В., Сагателян А.А., Богданова А.А. и др. Сравнительная оценка признаков нестабильности атеросклеротических бляшек в сонных артериях у пациентов с острым коронарным синдромом старческого возраста по данным дуплексного сканирования и компьютерной томографической ангиографии. Кардиоваскулярная терапия и профилактика. 2022;21(9):3275. doi:10.15829/1728-8800-2022-3275.
15. Коков А.Н., Масенко В.Л., Мухамадияров Р.А. Эквивалентная плотность кальциевых депозитов — новый диагностический паттерн атерокальциноза. Регионарное кровообращение и микроциркуляция. 2024;23(1):26-36. doi:10.24884/1682-6655-2024-23-1-26-36.
16. Vengrenyuk Y, Carlier S, Xanthos S, et al. A hypothesis for vulnerable plaque rupture due to stress-¬-induced debonding around cellular microcalcifications in thin fibrous caps. Proc Natl Acad Sci U S A. 2006;103(40):14678-83. doi:10.1073/pnas.0606310103.
Об авторах
Т. В. БалахоноваРоссия
Балахонова Татьяна Валентиновна — д.м.н., профессор, гл.н.с., руководитель лаборатории ультразвуковых методов исследования сосудов, профессор кафедры ультразвуковой и функциональной диагностики с курсом лучевой диагностики Института подготовки кадров высшей квалификации
Москва
О. А. Погорелова
Россия
Погорелова Ольга Александровна — к.м.н., c.н.с. лаборатории ультразвуковых методов исследования сосудов, доцент кафедры ультразвуковой и функциональной диагностики с курсом лучевой диагностики Института подготовки кадров высшей квалификации
Москва
М. В. Кошурникова
Россия
Кошурникова Мария Викторовна — к.м.н., м.н.с. лаборатории ультразвуковых методов исследования сосудов
Москва
М. И. Трипотень
Россия
Трипотень Мария Ильинична — к.м.н., с.н.с. лаборатории ультразвуковых методов исследования сосудов
Москва
С. А. Бойцов
Россия
Д.м.н., профессор, академик РАН, генеральный директор
Москва
Дополнительные файлы
- Впервые применена новая ультразвуковая технология MicroPure для выявления микрокальциноза в атеросклеротической бляшке (АСБ) сонной артерии у пациентов с острым коронарным синдромом и стабильной ишемической болезнью сердца.
 - У пациентов с острым коронарным синдромом микрокальцинаты в АСБ сонной артерии встречаются чаще, чем у пациентов с ишемической болезнью сердца.
 - Выявление микрокальцинатов с помощью ультразвукового исследования может быть важным признаком нестабильности АСБ.
 
Рецензия
Для цитирования:
Балахонова Т.В., Погорелова О.А., Кошурникова М.В., Трипотень М.И., Бойцов С.А. Микрокальциноз в атеросклеротической бляшке сонной артерии - признак нестабильности? Российский кардиологический журнал. 2025;30(9):6170. https://doi.org/10.15829/1560-4071-2025-6170. EDN: BFQLNO
For citation:
Balakhonova T.V., Pogorelova O.A., Koshurnikova M.V., Tripoten M.I., Boytsov S.A. Carotid plaque microcalcification — a sign of instability? Russian Journal of Cardiology. 2025;30(9):6170. (In Russ.) https://doi.org/10.15829/1560-4071-2025-6170. EDN: BFQLNO
                    
                                                 
            





































