МИКСОМА СЕРДЦА – СЛОЖНОСТИ ДИАГНОСТИКИ
https://doi.org/10.15829/1560-4071-2016-11-87-89
Аннотация
Клиническая картина миксом сердца крайне многообразна, что затрудняет их прижизненную диагностику, несмотря на внедрение новых диагностических методов. Данная патология сердца при “естественном” течении характеризуется неблагоприятным прогнозом, большинство больных обречены на летальный исход в ближайшие годы после появления первых клинических симптомов.
Об авторах
А. А. ФурсовРоссия
зав. отделением анестезиологии и реанимации
В. В. Гордеев
Россия
врач анестезиолог-реаниматолог
И. В. Демко
Россия
профессор, д. м.н., зав. кафедрой внутренних болезней № 2 с курсом ПО
Н. В. Гордеева
Россия
к. м.н., доцент кафедры внутренних болезней № 2 с курсом ПО
А. Ю. Крапошина
Россия
к. м.н., ассистент кафедры внутренних болезней № 2 с курсом ПО
И. А. Соловьева
Россия
к. м.н., ассистент кафедры внутренних болезней № 2 с курсом ПО
В. А. Мосина
Россия
к. м.н., ассистент кафедры внутренних болезней № 2 с курсом ПО
Е. А. Собко
Россия
д. м.н., доцент кафедры внутренних болезней № 2 с курсом ПО
Список литературы
1. Bokeriya LA, Bokeriya OL, Koasari AK, et al. Heart myxoma — iceberg peak or hidden threat? The Bulletin of A. N. Bakoulev Scientific Center for Cardiovascular Surgery of Russian Academy of Medical Sciences Cardiovascular diseases 2013; 14(2): 59-62.
2. Russian (Бокерия Л. А., Бокерия О. Л., Коасари А. К. и др. Миксома сердца — вершина айсберга или скрытые угрозы? Бюллетень НЦССХ им. А. Н. Бакулева РАМН Сердечно-сосудистые заболевания 2013; 14(2): 59-62).
3. Korostelev AN, Kiprenskiy AYu, Kiprenskiy YuV, et al. Results of surgical treatment of cardiac myxomas. Kazan Medical journal 2012; 93(1): 28-33. Russian (Коростелёв А. Н., Кипренский А. Ю., Кипренский Ю. В. и др. Результаты хирургического лечения миксом сердца. Казанский медицинский журнал 2012; 93(1): 28-33).
4. Nikolaenko NV. Echocardiographic diagnosis of the heart tumour. Medical journal of west Kazakhstan 2011; 2(30): 106-8. Russian (Николаенко Н. В. Эхокардиографическая диагностика опухоли сердца. Медицинский журнал Западного Казахстана 2011; 2(30): 106-8).
5. Gaman SA, Shabanova MS, Barysheva NA, et al. Left atrial tumor in patient with acute coronary syndrome. Russian electronic journal of radiology 2014; 4(16): 67-71. Russian (Гаман С. А., Шабанова М. С., Барышева Н. А. и др. Образование левого предсердия у больного с острым коронарным синдромом. Российский электронный журнал лучевой диагностики 2014; 4(16): 67-71).
6. Belozerova NE, Guseyn-Zade MG, Selezneva EYa, et al. Gastroenterologist diagnosting left atrial myxoma in patient with gastroesophageal reflux disease. Experimental and Clinical Gastroenterology 2012; 5: 107- 12. Russian (Белозерова Н. Е., Гусейн-Заде М. Г., Селезнева Э. Я. и др. Гастроэнтеролог диагностирует миксому левого предсердия у больного гастроэзофагеальной рефлюксной болезнью. Экспериментальная и клиническая гастроэнтерология 2012; 5: 107-12).
Дополнительные файлы
|
1. Титульный лист | |
| Тема | ||
| Тип | Прочее | |
Скачать
(636KB)
|
Метаданные ▾ | |
|
2. Сопроводительное письмо | |
| Тема | ||
| Тип | Прочее | |
Скачать
(549KB)
|
Метаданные ▾ | |
|
3. авторы | |
| Тема | ||
| Тип | Прочее | |
Скачать
(29KB)
|
Метаданные ▾ | |
|
|
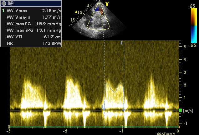
4. Рис.1 | |
| Тема | ||
| Тип | Прочее | |
Посмотреть
(57KB)
|
Метаданные ▾ | |
|
|
5. Рис.2 | |
| Тема | ||
| Тип | Прочее | |
Посмотреть
(57KB)
|
Метаданные ▾ | |
|
|
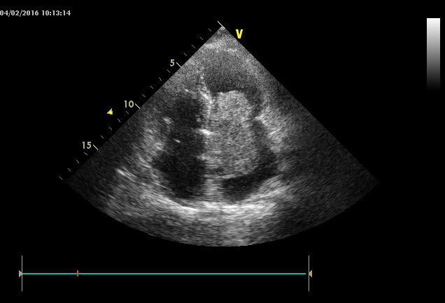
6. Рис.3 | |
| Тема | ||
| Тип | Прочее | |
Посмотреть
(123KB)
|
Метаданные ▾ | |
|
7. Рисунки с подписями | |
| Тема | ||
| Тип | Прочее | |
Скачать
(267KB)
|
Метаданные ▾ | |
Рецензия
Для цитирования:
Фурсов А.А., Гордеев В.В., Демко И.В., Гордеева Н.В., Крапошина А.Ю., Соловьева И.А., Мосина В.А., Собко Е.А. МИКСОМА СЕРДЦА – СЛОЖНОСТИ ДИАГНОСТИКИ. Российский кардиологический журнал. 2016;(11):87-89. https://doi.org/10.15829/1560-4071-2016-11-87-89
For citation:
Fursov A.A., Gordeev V.V., Demko I.V., Gordeeva N.V., Kraposhina A.Yu., Solovyova I.A., Mosina V.A., Sobko E.A. CARDIAC MYXOMA — CHALLENGE IN DIAGNOSTICS. Russian Journal of Cardiology. 2016;(11):87-89. (In Russ.) https://doi.org/10.15829/1560-4071-2016-11-87-89






































