КАРДИОПРОТЕКТИВНЫЕ МЕХАНИЗМЫ ПРОГЕСТИНОВ: ВЛИЯНИЕ ДРОСПИРЕНОНА НА МИОКАРД ПРИ ЭКСПЕРИМЕНТАЛЬНОЙ СЕРДЕЧНОЙ НЕДОСТАТОЧНОСТИ
https://doi.org/10.15829/1560-4071-2017-6-152-157
Аннотация
Цель. Оценить влияние синтетического прогестерона - дроспиренона на ремоделирование миокарда левого желудочка (ЛЖ) овариоэктомированных (ОЭ) крыс-самок в условиях экспериментальной сердечной недостаточности (ЭСН).
Материал и методы. Исследование проведено на 25 крысах-самках линии Wistar массой 260-300 г. 20 животным (через 2 мес после билатеральной овариоэктомии) моделировали ЭСН путем подкожного введения в течение 14 сутки (сут) 0,1 мл 1 % раствора мезатона с последующим плаванием до глубокого утомления. 4-х крыс вывели из эксперимента на 14 сут ЭСН. 16 опытных животных с ЭСН были разделены на 3 группы: 10 крысам вводили в течение 14 сут подкожно дроспиренон (Sigma-Aldrich, USA) в дозе 2 мг/кг (n=5) и 0,5 мг/кг (n=5), 6 животным подкожно вводили 0,2 мл 0,9 % хлорида натрия ежедневно. На 28 сут опыта животные были выведены из эксперимента. С помощью методов световой микроскопии, иммуноцитохимии, морфометрии исследовали миокард ЛЖ крыс.
Результаты. У ОЭ крыс на 14 сут ЭСН выявлены отчетливо выраженный гетероморфизм сократительных кардиомиоцитов (КМЦ) с признаками гипертрофии и дистрофии; увеличение объемной плотности (ОП) стромы, реорганизация внеклеточного матрикса (ВМ) (экспрессия металлопротеиназ-2,9 (ММП-2,9) и тканевого ингибитора металлопротеиназ-1 (ТИМП-1), КМЦ с явлениями апоптоза. После моделирования ЭСН на 28 сут в миокарде происходило дальнейшее нарастание количества КМЦ с существенно измененными морфологическими и тинкториальными свойствами, деградация компонентов ВМ миокарда. У крыс, получавших 14 сут дроспиренон, независимо от дозы, отмечался регресс патологических изменений, происходило уменьшение степени гипертрофии КМЦ и их ядер, снижение числа КМЦ с признаками апоптоза, стабилизация компонентов ВМ миокарда.
Заключение. Обсуждаются кардиопротективные эффекты дроспиренона, способствующего даже в минимальных терапевтических концентрациях, структурно-функциональной реабилитации миокарда в условиях дефицита половых гормонов и ЭСН.
Ключевые слова
Об авторах
Ю. В. ЛисковаРоссия
кмн, ассистент кафедры госпитальной терапии
Конфликт интересов: конфликт интересов не заявлен
М. В. Столбова
Россия
кмн,доцент кафедры госпитальной терапии, клинический фармаколог
Конфликт интересов: конфликт интересов не заявлен
А. А. Стадников
Россия
з.д.н. РФ, д.б.н., профессор, зав. кафедрой гистологии, цитологии и эмбриологии
Конфликт интересов: конфликт интересов не заявлен
С. П. Саликова
Россия
д.м.н., доцент 2-й кафедры (терапии усовершенствования врачей) (зав. каф. дмн, проф. В.Б. Гриневич)
Конфликт интересов: конфликт интересов не заявлен
Список литературы
1. Mahmoodzadeh S, Fliegner D, Dworatzek E. Sex differences in animal models for cardiovascular diseases and the role of estrogen. Handb Exp Pharmacol. 2012; 214: 23-48.
2. Piro M, Bona RD, Abbate A, et al. Sex-Related Differences in Myocardial Remodeling. J Am Coll Cardiol. 2010; 55: 1057-65.
3. Harvey RE, Coffman KE, Miller VM. Women-specific factors to consider in risk, diagnosis and treatment of cardiovascular disease. Womens Health (Lond). 2015; 11 (2): 239-57.
4. Bernstein P, Pohost G. Progesterone, progestins, and the heart. Rev Cardiovasc Med. 2010; 11 (3): 141-9.
5. Kalász J, Tóth EP, Bódi B, et al. Single acute stress-induced progesterone and ovariectomy alter cardiomyocyte contractile function in female rats. Croat Med J. 2014; 55: 239-49.
6. Thomas P, Pang Y. Protective actions of progesterone in the cardiovascular system: Potential role of membrane progesterone receptors (mPRs) in mediating rapid effects. Steroids. 2013; 78: 583-8.
7. Morrissy S, Xu B, Aguilar D, et al. Inhibition of apoptosis by progesterone in cardiomyocytes. Aging Cell. 2010; 9: 799-809.
8. Schindler AE, Campagnoli C, Druckmann R, et al. Classification and pharmacology of progestins. Maturitas 2008; 61: 1-2: 171-80.
9. Arias-Loza PA, Hu K, Schafer A, et al. Medroxyprogesterone Acetate But Not Drospirenone Ablates the Protective Function of 17-Estradiol in Aldosterone Salt–Treated Rats. Hypertension. 2006; 48: 994-1001.
10. Liskova YUV, Salikova SP, Stadnikov АА. Experimental models of heart failure: a condition and results of their own research. Morphological statements. 2014, 1: 46-53.
11. (Лискова Ю. В., Саликова С . П., Стадников А . А . Экспериментальные модели сердечной недостаточности: состояние вопроса и результаты собственного исследования. Морфологические ведомости. 2014, 1: 46-53).
12. Аvtandilov GG. Meditsinskaya morfometriya. Rukovodstvo. M.: Meditsina, 1990. s 384. Russian (Автандилов Г . Г . Медицинская морфометрия. Руководство. М.: Медицина, 1990. с 384).
13. Liskova YuV, Salikova SP, Stadnikov АА. Аbout structural reorganization of the myocardium in ovariectomized rats with the experimental heart failure at melatonin introduction Morphology. 2013, 144 (5): 25-9. (Лискова Ю. В., Саликова С . П., Стадников А . А . Структурная реорганизация миокарда овариоэктомированных крыс с экспериментальной сердечной недостаточностью при введении мелатонина. Морфология. 2013, 144 (5): 25-9).
14. Ezekowitz JA, McAlister FA. Aldosterone blockade and left ventricular dysfunction: a systematic review of randomized clinical trials. European Heart Journal. 2009; 30: 469-77.
15. Shen JZ, Young MJ. Corticosteroids, Heart Failure, and Hypertension: A Role for Immune Cells? Endocrinology. 2012; 153 (12): 5692-700.
16. Podzolkov VI, Bragina АE, Rodionova YuN, Panferova EK. Gender features of the reninangiotensin-aldosterone system in hypertensive patients. Rational Pharmacotherapy in Cardiology. 2010, 6 (3): 306-10. Russian (Подзолков В. И., Брагина А . Е., Родионова Ю. Н., Панферова Е. К. Гендерные особенности ренин-ангиотензин-альдостероновой системы у пациентов с артериальной гипертонией. Рациональная Фармакотерапия в Кардиологии. 2010, 6 (3): 306-10).
17. Fan D, Takawale A, Lee J, et al. Cardiac fibroblasts, fibrosis and extracellular matrix remodeling in heart disease. Fibrogenesis & Tissue Repair. 2012; 5: 1-15.
18. Spinale FG. Myocardial Matrix Remodeling and the Matrix Metalloproteinases: Influence on Cardiac Form and Function. Physiological Reviews. 2007; 87 no. 4: 1285-342.
19. Schulz R. Intracellular Targets of Matrix Metalloproteinase-2 in Cardiac Disease: Rationale and Therapeutic Approaches. Annual Review of Pharmacology and Toxicology 2007; 47: 211-42.
Дополнительные файлы
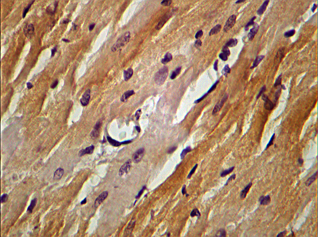
|  | 1. Рис. 2 Фрагмент миокарда ЛЖ крысы на 28 сут после моделирования ЭСН. Окраска: иммуноцитохимическая пероксидазная реакция для выявления ТИМП-1. Ув. об. 40, ок. 10 | |
| Тема | Фрагмент миокарда ЛЖ крысы | |
| Тип | Результаты исследования | |
| 
                  
                    Посмотреть
                                        
                    (868KB)    
                   | Метаданные ▾ | |
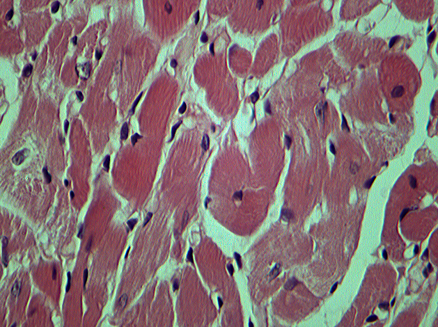
|  | 2. Рис. 1 Фрагмент миокарда ЛЖ крысы на 28 сут моделирования ЭСН. Окраска: гематоксилин Майера и эозин. Ув. об. 40, ок. 10 КМЦ с разряженной саркоплазмой и околоядерным опустошением. | |
| Тема | Фрагмент миокарда ЛЖ крысы | |
| Тип | Материалы исследования | |
| 
                  
                    Посмотреть
                                        
                    (866KB)    
                   | Метаданные ▾ | |
|  | 3. Рис. 3 Фрагмент миокарда ЛЖ крысы на 14 сут после моделирования ЭСН. Окраска: иммуноцитохимическая пероксидазная реакция для выявления ММП-2. Ув. об. 40, ок. 10 ММП-2-позитивные кардиомиоциты. | |
| Тема | Фрагмент миокарда ЛЖ крысы | |
| Тип | Материалы исследования | |
| 
                  
                    Посмотреть
                                        
                    (894KB)    
                   | Метаданные ▾ | |
|   | 4. Таблицы к статье | |
| Тема | ||
| Тип | Результаты исследования | |
| 
                  
                    Скачать
                                        
                    (16KB)    
                   | Метаданные ▾ | |
Рецензия
Для цитирования:
Лискова Ю.В., Столбова М.В., Стадников А.А., Саликова С.П. КАРДИОПРОТЕКТИВНЫЕ МЕХАНИЗМЫ ПРОГЕСТИНОВ: ВЛИЯНИЕ ДРОСПИРЕНОНА НА МИОКАРД ПРИ ЭКСПЕРИМЕНТАЛЬНОЙ СЕРДЕЧНОЙ НЕДОСТАТОЧНОСТИ. Российский кардиологический журнал. 2017;(6):152-157. https://doi.org/10.15829/1560-4071-2017-6-152-157
For citation:
Liskova Yu.V., Stolbova M.V., Stadnikov А A.A., Salikova S.P. CARDIOPROTECTIVE PROPERTIES OF PROGESTINES: INFLUENCE OF DROSPIRENONE ON MYOCARD IN EXPERIMENTAL HEART FAILURE. Russian Journal of Cardiology. 2017;(6):152-157. (In Russ.) https://doi.org/10.15829/1560-4071-2017-6-152-157
 
                     
                                                  
            






































 
  
  
  
  
  Послать статью по эл. почте
            Послать статью по эл. почте