Перейти к:
Острый коронарный синдром как редкое проявление метастатического поражения сердца при меланоме. Клинический случай
https://doi.org/10.15829/1560-4071-2025-6479
EDN: JWWOCE
Аннотация
Введение. Клинические проявления опухолей сердца неспецифичны и могут быть схожи с различными сердечно-сосудистыми заболеваниями. Одним из наиболее частых источников вторичных опухолей сердца является меланома. Диагностика метастатического поражения сердца при меланоме представляет сложности ввиду преимущественно бессимптомного течения.
Описание случая. Представлен клинический случай, описывающий редкое клиническое проявление меланомы под маской острого инфаркта миокарда у пациента 51 года, перенесшего 5 лет назад иссечение меланомы кожи плеча, лимфаденэктомию и иммунотерапию ниволумабом. Пациенту назначена комбинированная иммунотерапия ниволумабом и ипилимумабом. Контрольное обследование (магнитно-резонансная томография сердца, позитронно-эмиссионная томография, совмещенная с компьютерной томографией) через 3 мес. продемонстрировало значительный регресс размеров и метаболической активности опухолевых очагов как в сердце, так и в других органах.
Дискуссия. Несмотря на преимущественно бессимптомное течение, метастатическое поражение сердца при меланоме может проявляться болевым синдромом в грудной клетке, ишемическими изменениями на электрокардиограмме и повышением уровня кардиоспецифических ферментов, что создает картину острого коронарного синдрома. Представленный случай демонстрирует высокую эффективность комбинированной иммунотерапии в достижении регресса метастазов меланомы в сердце и других органах.
Ключевые слова
Для цитирования:
Гвоздева А.Д., Яковлев С.А., Близнюк С.А., Комарова А.Г., Багателия З.А. Острый коронарный синдром как редкое проявление метастатического поражения сердца при меланоме. Клинический случай. Российский кардиологический журнал. 2025;30(10S):6479. https://doi.org/10.15829/1560-4071-2025-6479. EDN: JWWOCE
For citation:
Gvozdeva A.D., Yakovlev S.A., Bliznuyk S.A., Komarova A.G., Bagatelya Z.A. Acute coronary syndrome as a rare manifestation of melanoma with cardiac metastasis: a case report. Russian Journal of Cardiology. 2025;30(10S):6479. (In Russ.) https://doi.org/10.15829/1560-4071-2025-6479. EDN: JWWOCE
Введение
Опухоли сердца относятся к группе редких заболеваний. Распространенность первичных опухолей сердца составляет ~0,3% по данным аутопсий, тогда как вторичные образования встречаются в 20-40 раз чаще [1]. Источником последних служат злокачественные опухоли различной локализации, среди которых наиболее распространены меланома, рак молочной железы, легких, а также лимфомы [1].
Клинические проявления опухолей сердца обусловлены преимущественно их локализацией и размером, при этом в большинстве случаев симптомы неспецифичны. Вторичные опухоли сердца часто приводят к перикардиальному выпоту, могут проявляться нарушениями ритма сердца, эмболическими осложнениями или сердечной недостаточностью [2]. Однако во многих ситуациях симптомы могут полностью отсутствовать: было показано, что у 12% пациентов с онкологическими заболеваниями метастатическое поражение сердца не сопровождалось наличием симптомов и являлось случайной находкой при аутопсии [3].
Болевой синдром в грудной клетке является редким проявлением метастатического поражения сердца, который, в сочетании с вторичными изменениями сегмента ST на электрокардиограмме (ЭКГ), может имитировать острый коронарный синдром (ОКС) [4]. В данной статье представлен случай, иллюстрирующий особенности дифференциальной диагностики и терапии метастатического поражения сердца у пациента с меланомой, чья клиническая картина соответствовала ОКС с подъемом сегмента ST.
Клинический случай
Мужчина 51 года с длительным анамнезом артериальной гипертензии и установленным диагнозом меланомы кожи левого плеча (pT3bN0M0, BRAF-wt), перенесший 5 лет назад иссечение первичной опухоли, лимфаденэктомию и иммунотерапию ниволумабом, поступил в реанимационное отделение с интенсивной "простреливающей" болью в правой половине грудной клетки. Боль возникла в покое, усиливалась при глубоком вдохе и перемене положения тела. За двое суток до госпитализации также отмечались рвота, диарея и эпизод повышения температуры тела до 38 C.
На ЭКГ при поступлении зарегистрирована фибрилляция предсердий (ФП) с частотой сердечных сокращений ~117 уд./мин, элевация сегмента ST в отведениях V2-V5 (рис. 1). Артериальное давление составило 150/80 мм рт.ст. При эхокардиографическом исследовании выявлена гипертрофия левого желудочка (ЛЖ) с утолщением межжелудочковой перегородки до 16 мм, сохранная систолическая функция ЛЖ (фракция выброса — 71%); зон нарушенной локальной сократимости и значимой клапанной патологии не обнаружено. В лабораторных анализах обращало внимание повышение уровня печеночных ферментов (аспартатаминотрансфераза 381 Ед/л, гамма-глутамилтрансфераза 2369 Ед/л), гипокалиемия (концентрация ионов калия в крови 2,9 ммоль/л). Уровень высокочувствительного тропонина составил 88 нг/л (N <11 нг/л). Была выполнена экстренная коронарография, по данным которой не было выявлено значимых стенозов коронарных артерий. На фоне коррекции электролитных нарушений пароксизм ФП был купирован. Пациенту был установлен предварительный диагноз инфаркта миокарда (ИМ) без обструкции коронарных артерий.
С целью исключения иных причин повреждения миокарда была проведена магнитно-резонансная томография (МРТ) сердца с контрастированием, по данным которой выявлены множественные интрамиокардиальные образования в стенках обоих желудочков. Наибольший очаг (40×26 мм) локализовался в области верхушки ЛЖ. Неоднородное накопление контраста в раннюю и отсроченную фазы, сопутствующие признаки отека миокарда и данные анамнеза позволили заподозрить метастатическое поражение сердца.
Пациенту была выполнена позитронно-эмиссионная томография, совмещенная с компьютерной томографией (ПЭТ/КТ), выявившая очаг гиперфиксации радиофармпрепарата (РФП) в области верхушки сердца (рис. 2), множественные образования в брюшной полости, забрюшинном пространстве и малом тазу с гиперфиксацией РФП, а также множественные метаболически активные очаги в костях скелета.
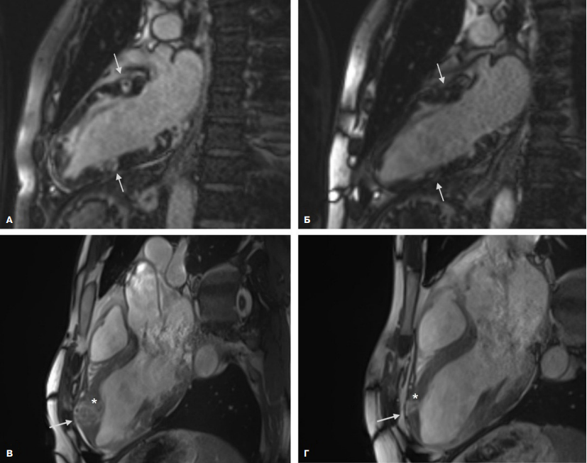
По решению онкоконсилиума пациенту была назначена комбинированная иммунотерапия (ниволумаб + ипилимумаб). При выписке также назначена антикоагулянтная терапия (ривароксабан 20 мг), гипотензивная терапия (эналаприл 10 мг, амлодипин 5 мг), бисопролол 5 мг. На фоне иммунотерапии через несколько месяцев была отмечена положительная динамика в виде регресса размеров и количества образований. По данным МРТ сердца через 3 мес. наблюдалось значительное уменьшение метастазов в размерах (размер наибольшего образования в области верхушки ЛЖ составил ~18×11 мм (рис. 3)).
По данным ПЭТ/КТ отмечался регресс метаболической активности РФП в верхушке сердца, уменьшение размеров и снижение метаболизма РФП в образованиях брюшной полости, забрюшинного пространства и малого таза, уменьшение гиперметаболизма РФП в очагах в костях и мягких тканях. Серьезных нежелательных явлений на фоне лечения не отмечено, после нескольких сеансов комбинированной терапии пациент продолжил терапию ниволумабом в режиме монотерапии.
Временная шкала
| 5 лет до госпитализации | Иссечение меланомы плеча (pT3bN0M0, BRAF-wt), лимфаденэктомия, иммунотерапия ниволумабом | 
| День 0 | Госпитализация с интенсивной "простреливающей" болью в правой половине грудной клетки. ЭКГ: ФП, элевация ST (V2-V5). Тропонин вч: 88 нг/л. Коронарография: отсутствие значимых стенозов | 
| День 2 | МРТ сердца: множественные интрамиокардиальные образования в стенках обоих желудочков. Наибольший очаг (40×26 мм) в области верхушки ЛЖ | 
| День 10 | ПЭТ/КТ: множественные гиперметаболические очаги в области верхушки сердца, брюшной полости, забрюшинном пространстве, малом тазу, костях скелета | 
| День 14 | Онкоконсилиум. Назначение иммунотерапии (ниволумаб + ипилимумаб) | 
| 3 мес. | МРТ сердца: регресс метастазов в размерах (размер наибольшего образования в области верхушки ЛЖ составил около 18×11 мм) | 
| 4 мес. | ПЭТ/КТ: регресс метаболической активности РФП в верхушке сердца, уменьшение размеров и снижение метаболизма РФП в образованиях брюшной полости, забрюшинного пространства и малого таза, в костях и мягких тканях. Продолжена терапия ниволумабом | 
Сокращения: ЛЖ — левый желудочек, МРТ — магнитно-резонансная томография, ПЭТ/КТ — позитронно-эмиссионная томография, совмещенная с компьютерной томографией, РФП — радиофармпрепарат, ФВ — фракция выброса, ФП — фибрилляция предсердий, ЭКГ — электрокардиография.

Рис. 1. ЭКГ при поступлении: ФП, элевация сегмента ST в отведениях V2-V5.

Рис. 2. ПЭТ/КТ: очаг гиперфиксации РФП в области верхушки сердца (обозначен стрелкой).

Рис. 3. МРТ сердца: множественные интрамиокардиальные образования до начала иммунотерапии (слева) и после 3 мес. иммунотерапии (справа). А, Б — режим отсроченного контрастирования, двухкамерная проекция; В, Г — кино-режим, трехкамерная проекция. Стрелки указывают на несколько образований в стенках ЛЖ, звездочкой отмечено образование наибольших размеров.
Обсуждение
Представленный случай иллюстрирует редкое клиническое проявление метастатического поражения сердца при меланоме, манифестировавшее под маской острого ИМ без обструкции коронарных артерий.
Согласно данным ряда исследований, у 5-10% пациентов, госпитализированных с ОКС, не обнаруживается значимых стенозов при коронарографии [5][6]. В подобных случаях одним из ключевых диагностических методов, позволяющих дифференцировать ишемическую этиологию повреждения миокарда от других причин (таких как миокардит, кардиомиопатия такоцубо и др.), является МРТ сердца с контрастированием [7]. В ретроспективном исследовании 888 пациентов с ОКС без обструктивного поражения коронарных артерий, которым была выполнена МРТ сердца, ИМ был подтвержден лишь у 27% пациентов, тогда как в 73% случаев было выявлено неишемическое повреждение миокарда [7].
В редких случаях опухоли сердца могут сопровождаться болевым синдромом в грудной клетке, который в сочетании с повышенным уровнем кардиоспецифических биомаркеров и "ишемическими" изменениями ЭКГ может расцениваться как ОКС. Изменения сегмента ST характерны для вторичных опухолей сердца. Показано, что элевация сегмента ST при отсутствии симптомов ишемии обладает высокой специфичностью в отношении диагностики метастатического поражения сердца у пациентов со злокачественными новообразованиями [8]. Подобные изменения могут быть обусловлены опухолевой инфильтрацией миокарда и/или перикарда, инвазией или компрессией коронарных артерий, а также сопутствующим мио- или перикардитом или кардиомиопатией такоцубо [9].
Эхокардиография служит первоначальным методом диагностики опухолей сердца, однако имеет ряд ограничений, таких как оператор-зависимость, плохое качество изображения у пациентов с узкими акустическими окнами и невозможность описать тканевую структуру опухоли. МРТ с контрастированием является одним из ключевых методов диагностики образований сердца, позволяя детально охарактеризовать их морфологию, а также и взаимоотношения с окружающими тканями, что имеет важное значение для дифференциальной диагностики опухолей сердца [10].
Меланома относится к одним из наиболее частых источников вторичных опухолей сердца. Большинство случаев метастатического поражения сердца при меланоме не сопровождается появлением клинических симптомов, и часто метастазы меланомы обнаруживаются лишь при аутопсии [11]. До появления современной иммунотерапии прогноз при метастатической меланоме оставался крайне неблагоприятным с 5-летней выживаемостью около 5-10% [12]. Применение иммунотерапевтических препаратов произвело революцию в лечении метастатической меланомы. Ниволумаб и ипилимумаб являются ингибиторами контрольных точек иммунного ответа; применение их как в монотерапии, так и в комбинации сопровождается существенным увеличением общей выживаемости среди пациентов с прогрессирующей меланомой [13]. По данным анализа исследования CheckMate 067 10-летняя общая выживаемость составила 43% в группе комбинированной терапии ниволумаб+ипилимумаб, 37% в группе ниволумаба и 19% в группе ипилимумаба [14].
Заключение
Клинический случай подчеркивает необходимость
включения метастатического поражения сердца в дифференциально-диагностический ряд у пациентов с ОКС, особенно при отягощенном онкологическом анамнезе. МРТ сердца является методом выбора при дифференциальной диагностике причин повреждения миокарда у пациентов с ОКС без обструктивного поражения коронарных артерий. Современная иммунотерапия позволяет достичь регресса метастазов меланомы в сердце и других органах.
Список литературы
1. Tyebally S, Chen D, Bhattacharyya S, et al. Cardiac Tumors: JACC CardioOncology State-of-the-Art Review. JACC CardioOncol. 2020;2:293-311. doi:10.1016/j.jaccao.2020.05.009.
2. Paraskevaidis IA, Michalakeas CA, Papadopoulos CH, et al. Cardiac tumors. ISRN Oncol. 2011;2011:208929. doi:10.5402/2011/208929.
3. Klatt EC, Heitz DR. Cardiac metastases. Cancer. 1990;65:1456-9. doi:10.1002/10970142(19900315)65:6<1456::aid-cncr2820650634>3.0.co;2-5.
4. Goldberg AD, Blankstein R, Padera RF. Tumors metastatic to the heart. Circulation. 2013;128:1790-4. doi:10.1161/CIRCULATIONAHA.112.000790.
5. Pasupathy S, Air T, Dreyer RP, et al. Systematic review of patients presenting with suspected myocardial infarction and nonobstructive coronary arteries. Circulation. 2015;131:861-70. doi:10.1161/CIRCULATIONAHA.114.011201.
6. Barr PR, Harrison W, Smyth D, et al. Myocardial infarction without obstructive coronary artery disease is not a benign condition (ANZACS-QI 10). Heart Lung Circ. 2018;27:165-74. doi:10.1016/j.hlc.2017.02.023.
7. Liang K, Bisaccia G, Leo I, et al. CMR reclassifies the majority of patients with suspected MINOCA and non MINOCA. Eur Heart J Cardiovasc Imaging. 2023;25:8-15. doi:10.1093/ehjci/jead182.
8. Cates CU, Virmani R, Vaughn WK, et al. Electrocardiographic markers of cardiac metastasis. Am Heart J. 1986;112:1297-303. doi:10.1016/0002-8703(86)90363-7.
9. Ndukwe M, Zheng J, Collins B, et al. Cardiac Metastasis of Pulmonary Spindle Cell Carcinoma Mimicking Lateral ST-Segment Elevation Myocardial Infarction. JACC Case Rep. 2025;30:103322. doi:10.1016/j.jaccas.2025.103322.
10. Gatti M, D’Angelo T, Muscogiuri G, et al. Cardiovascular magnetic resonance of cardiac tumors and masses. World J Cardiol. 2021;13:628-49. doi:10.4330/wjc.v13.i11.628.
11. Poulsen CB, Weile KS, Schmidt H, et al. A case report: metastasis of melanoma to the heart in an era of immunotherapy. Eur Heart J Case Rep. 2019;3:1-7. doi:10.1093/ehjcr/ytz182.
12. Uprety D, Bista A, Chennamadhavuni A, et al. Survival trends among patients with metastatic melanoma in the pretargeted and the post-targeted era: a US population-based study. Melanoma Res. 2018;28:56-60. doi:10.1097/CMR.0000000000000394.
13. Wolchok JD, Chiarion-Sileni V, Gonzalez R, et al. Long-term outcomes with nivolumab plus ipilimumab or nivolumab alone versus ipilimumab in patients with advanced melanoma. J Clin Oncol. 2022;40:127-37. doi:10.1200/JCO.21.02229.
14. Wolchok JD, Chiarion-Sileni V, Rutkowski P, et al.; CheckMate 067 Investigators. Final, 10-Year Outcomes with Nivolumab plus Ipilimumab in Advanced Melanoma. N Engl J Med. 2025; 392:11-22. doi:10.1056/NEJMoa2407417.
Об авторах
А. Д. ГвоздеваРоссия
к.м.н., н.с.
Москва
Конфликт интересов:
все авторы заявляют об отсутствии потенциального конфликта интересов, требующего раскрытия в данной статье
С. А. Яковлев
Россия
Врач ультразвуковой диагностики.
Москва
Конфликт интересов:
все авторы заявляют об отсутствии потенциального конфликта интересов, требующего раскрытия в данной статье
С. А. Близнюк
Россия
к.м.н., н.с.
Москва
Конфликт интересов:
все авторы заявляют об отсутствии потенциального конфликта интересов, требующего раскрытия в данной статье
А. Г. Комарова
Россия
к.м.н., в.н.с.
Москва
Конфликт интересов:
все авторы заявляют об отсутствии потенциального конфликта интересов, требующего раскрытия в данной статье
З. А. Багателия
Россия
д.м.н., профессор, в.н.с.
Москва
Конфликт интересов:
все авторы заявляют об отсутствии потенциального конфликта интересов, требующего раскрытия в данной статье
Дополнительные файлы
- Метастатическое поражение сердца необходимо рассматривать в качестве возможной причины острого коронарного синдрома, особенно у пациентов, имеющих анамнез онкологических заболеваний.
- Магнитно-резонансная томография сердца является ключевым методом при дифференциальной диагностике причин повреждения миокарда у пациентов с острым коронарным синдромом без обструкции коронарных артерий.
- Современная иммунотерапия эффективна в отношении регресса метастазов меланомы в сердце и позволила улучшить прогноз пациентов с прогрессирующей меланомой.
Рецензия
Для цитирования:
Гвоздева А.Д., Яковлев С.А., Близнюк С.А., Комарова А.Г., Багателия З.А. Острый коронарный синдром как редкое проявление метастатического поражения сердца при меланоме. Клинический случай. Российский кардиологический журнал. 2025;30(10S):6479. https://doi.org/10.15829/1560-4071-2025-6479. EDN: JWWOCE
For citation:
Gvozdeva A.D., Yakovlev S.A., Bliznuyk S.A., Komarova A.G., Bagatelya Z.A. Acute coronary syndrome as a rare manifestation of melanoma with cardiac metastasis: a case report. Russian Journal of Cardiology. 2025;30(10S):6479. (In Russ.) https://doi.org/10.15829/1560-4071-2025-6479. EDN: JWWOCE
 
                    
 
                                                  
            






































 
  
  
  
  
  Послать статью по эл. почте
            Послать статью по эл. почте