Перейти к:
Инфаркт миокарда после укуса гадюки. Клинический случай
https://doi.org/10.15829/1560-4071-2025-6379
EDN: IWIVMH
Аннотация
Введение. Ядовитые змеи — редкое явление на территории европейской части Российской Федерации, и тем не менее каждый год регистрируются случаи укусов. В этой статье представлен клинический случай коронарного тромбоза и инфаркта миокарда у пациента без предшествующего атеросклероза коронарных артерий, вследствие укуса ядовитой змеи (Vipera berus).
Краткое описание. Пациент 42 лет был доставлен в приемное отделение сосудистого центра бригадой скорой помощи с типичными ангинозными жалобами, возникшими после укуса неизвестной змеи. На электрокардиограмме зарегистрирована элевация сегмента ST с соответствующими реципрокными изменениями. Пациент был подан в рентгеноперационную, где обнаружен тромбоз коронарных артерий без подлежащего атеросклероза. Попытки тромбоаспирации оказались неэффективны и вмешательство было прекращено. В дальнейшем диагноз инфаркта миокарда был подтвержден лабораторно и инструментально, состояние пациента оставалось стабильным, медикаментозная терапия соответствовала современным рекомендациям лечения инфаркта миокарда. Дальнейшее течение заболевания прошло без осложнений. Пациент выписан в удовлетворительном состоянии на 10 день болезни.
Дискуссия. Клинический случай, редкий для территории России, но не единственный в мировой практике. По запросу "myocardial infarction after snakebite", "myocardial infraction associated with snakebite" в базе Pubmed доступно описание 24 клинических случаев, большая часть которых описана на территории эндемичных районов, преимущественно Азии. Яд некоторых змей обладает доказанной прокоагулянтной активностью, что подтверждают отдельные исследования и описание схожих клинических случаев. Однако однозначно исключить синдром Коуниса в этих обстоятельствах не представляется возможным, что оставляет точный патогенез коронарного тромбоза, возникшего после укуса змеи, открытым для обсуждения.
Ключевые слова
Для цитирования:
Воронцова М.К., Осадчий И.А., Алексанкин А.В., Захаров И.С., Дупляков Д.В. Инфаркт миокарда после укуса гадюки. Клинический случай. Российский кардиологический журнал. 2025;30(10S):6379. https://doi.org/10.15829/1560-4071-2025-6379. EDN: IWIVMH
For citation:
Vorontsova M.K., Osadchiy I.A., Aleksankin A.V., Zakharov I.S., Duplyakov D.V. Myocardial infarction after a viper bite: a case report. Russian Journal of Cardiology. 2025;30(10S):6379. (In Russ.) https://doi.org/10.15829/1560-4071-2025-6379. EDN: IWIVMH
Клинический случай
Мужчина 42 лет был доставлен в приемное отделение сосудистого центра бригадой скорой помощи с жалобами на давящую боль за грудиной с иррадиацией в спину, сопровождающуюся чувством нехватки воздуха, а также боль в месте укуса змеи, полученного накануне обращения, отёчность правой руки и выраженную жажду.
Со слов пациента, в 16.00 предыдущего дня был укушен длинной черной змеей во время прогулки на природе. За медицинской помощью не обращался, самостоятельно пытался аспирировать яд ртом. После чего в течение нескольких часов развилась многократная рвота и частый жидкий стул. Утром в 03.30 проснулся от давящих, интенсивных болей за грудиной, иррадиирующих в спину, а также болезненности и значительного отека правого плеча и предплечья и вызвал бригаду скорой помощи. Этапность событий представлена на рисунке 1.
На догоспитальном этапе зарегистрирована электрокардиограмма (ЭКГ) (рис. 2) — правильный, синусовый ритм, элевация сегмента ST в отведениях I, aVL, а также левых грудных отведениях, депрессия сегмента ST в отведениях II, III, aVF. На догоспитальном этапе получил тикагрелор 180 мг, ацетилсалициловую кислоту 300 мг, нефракционированный гепарин 5000 ЕД внутривенно, морфин 10 мг внутривенно, преднизолон 120 мг внутривенно, раствор Рингера 400 мл внутривенно. Пациент доставлен в стационар с диагнозом "Острый коронарный синдром с подъемом ST менее 12 ч. Укус змеи". Учитывая регион происшествия и предоставленное описание, змея была идентифицирована как гадюка обыкновенная (Vipera berus) (рис. 3).
На момент осмотра в приемном покое состояние средней степени тяжести, кожные покровы бледные, влажные, правая верхняя конечность увеличена в объеме, по ходу лимфатических сосудов наблюдается выраженная гиперемия. На дистальной фаланге среднего пальца две симметричные колотые ранки на расстоянии примерно 10 мм с продолжающимся кровотечением (рис. 4, 5).
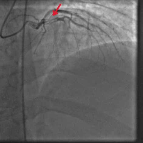
Повторно зарегистрирована ЭКГ — синусовый ритм, сохраняется элевация ST в отведениях I, aVL, V2-V6, реципрокные изменения в отведениях II, III, aVF. Из приемного покоя пациент был направлен в рентгеноперационную. На коронарографии: тип кровоснабжения правый, в передней межжелудочковой ветви (ПМЖВ) пристеночные тромбы в верхней трети, окклюзия за 1 диагональной артерией (ДА), кровоток TIMI 0-1, остальные артерии интактны, признаков коронарного атеросклероза не обнаружено (рис. 6-8). Попытки тромбоаспирации оказались без эффекта. В зону тромбоза в верхней трети ПМЖВ имплантирован стент. Многократные попытки баллонной ангиопластики ПМЖВ от развилки с 1 ДА до дистальных отделов без эффекта. Сохранялся кровоток по ПМЖВ ТIМІ — 0-1. В 1 ДА и дистальнее поочередно имплантированы 2 стента. Несмотря на все усилия и внутриартериальное введение изокета кровоток по ТIМI оставался на уровне 0-1. Появилась стагнация кровотока в дистальных отделах 1 ДА. Дальнейшее вмешательство было решено прекратить, и пациент был переведен в отделение реанимации.
В отделении реанимации и интенсивной терапии состояние пациента стабилизировано, гемодинамическая поддержка не требовалась. Повышение тропонина I до 2,229 нг/мл (референсный предел <0,03). На эхокардиографии выявлен гипокинез базальных сегментов межжелудочковой перегородки, фракция выброса по Симпсону 52%.
Прицельно осмотрено место укуса, в проекции мягких тканей правой верхней конечности патологических включений не выявлено, определяется расширение межтканевых промежутков (отек).
Пациент получал стандартную терапию — двойную антиагрегантную терапию, нефракционированный гепарин, ингибиторы ангиотензинпревращающего фермента и бета-адреноблокаторы, статины, а также глюкокортикоиды (преднизолон по 180 мг/сут.). Ампутация пальца не потребовалась, и дальнейшее течение заболевания прошло без осложнений. Пациент выписан в удовлетворительном состоянии на 10 день болезни.
|
Часы |
События |
|
16.00 |
Укус змеи |
|
19.00 |
Первые синдромы |
|
03.30 |
Боль за грудиной |
|
04.11 |
Вызов СМП |
|
04.28 |
Прибытие СМП |
|
05.16 |
Прибытие в стационар |
|
05.50 |
Коронарография |
Рис. 1. Временная шкала.
Сокращение: СМП — скорая медицинская помощь.

Рис. 2. Первичная ЭКГ.

Рис. 3. Гадюка обыкновенная (Vipera berus). Фото Игорь Подгорный.

Рис. 4. В области ногтевой фаланги среднего пальца правой кисти некроз 1 на 1,5 см.

Рис. 5. Плотный, болезненный отек в области кисти, предплечья, плеча с подкожными экхимозами.

Рис. 6. Тромбы в ПМЖВ.

Рис. 7. Тромботическая окклюзия за первой ДА.

Рис. 8. ЭКГ в динамике.
Обсуждение
Данный клинический случай хоть и редкий для территории России, но не единственный в мировой практике. По запросу "myocardial infarction after snakebite", "myocardial infraction associated with snakebite" в базе Pubmed доступно описание 24 клинических случаев, большая часть которых описана на территории эндемичных районов, преимущественно Азии. На территории Российской Федерации насчитывается 11 видов ядовитых змей, самой распространенной из которых считается гадюка обыкновенная. Яд гадюки — сложное, многокомпонентное вещество, в его состав входят фосфолипазы, гиалуронидаза, токсические полипептиды, пептидные гидролазы, аминокислоты и углеводы. Для клинической картины интоксикации характерны местный отек и некроз тканей в месте укуса (активация факторов воспаления), явления диспепсии (тошнота, рвота, боль в животе), нарушение функции почек вплоть до острого почечного повреждения с развитием анурии, лихорадка, жалобы на одышку и сердцебиение [1][2]. Распространение яда от места укуса происходит по лимфатическим и кровеносным сосудам. Пиковая концентрация в плазме достигается от получаса до 4 ч от времени укуса, время полураспада оценивается в 6-16 ч.
Гадюка обыкновенная относится к семейству гадюковых, токсикологический профиль которых имеет доказанную прокоагулянтную активность [3]. Коагулопатия может быть результатом про- и антикоагулянтного воздействия на активность фактора V. При низкой объемной концентрации яда свертываемость крови увеличивается, а при высокой концентрации — снижается. Это сопровождается одновременным изменением протромбинового времени и активированного частичного тромбопластинового времени. Часто встречается геморрагический синдром в виде экхимозов и гематом. Повреждение кардиомиоцитов в основном связано с разрушением эндотелия капилляров под действием провоспалительных ферментов, местной гипо- и гиперкоагуляции и последующей ишемией. Описан случай коронарного тромбоза и инфаркта миокарда после укуса гадюки подвида Vipera aspis franciscired у пациента с известным коронарным атеросклерозом, получавшим двойную антиагрегантную терапию. На коронарографии у пациента был обнаружен тромб на уровне бифуркации ПМЖВ и ДА 1 без атеросклеротической бляшки [4].
Следует отметить, что сердце — не единственная мишень тромбообразования в случае укуса ядовитых змей. В Пакистане описан случай тромбоза венозного синуса твердой мозговой оболочки у мужчины 25 лет, возникшего после укуса змеи семейства гадюковых [5]. А в Индии описан тромбоз глубоких вен правой нижней конечности и ишемический инсульт у молодой женщины, также после укуса ядовитой змеи [6].
Описание этого клинического случая было бы неполным без упоминания синдрома Коуниса, который традиционно предполагается в подобных обстоятельствах. Синдром Коуниса характеризуется сочетанием кардиальных жалоб и клинических проявлений реакции гиперчувствительности, анафилаксии или анафилактоидных реакций [7]. Kounis NG выделяет 3 типа синдрома, обусловленные разными патофизиологическими механизмами и анатомическим субстратом. Тип 1 — коронарный вазоспазм, включает пациентов с нормальными или почти нормальными коронарными артериями без предрасполагающих факторов к развитию ишемической болезни сердца. Тип 2 — острая диссекция уже существующей атеросклеротической бляшки под действием провоспалительных цитокинов. Тип 3 — тромбоз стента коронарной артерии, когда аспирированные образцы тромба, окрашенные гематоксилин-эозином и Гимза, демонстрируют наличие эозинофилов и тучных клеток, соответственно [7]. Учитывая отсутствие у пациента иных признаков и жалоб аллергического генеза, известную прокоагулянтную активность яда Vipera berus, отсутствие коронарного атеросклероза и доказанный тромбоз коронарных артерий, такой диагноз синдрома Коуниса в нашем случае, представляется маловероятным. Впрочем, точный патогенез коронарного тромбоза, возникшего после укуса змеи, остается открытым для дискуссии.
Заключение
Тромбоз коронарных сосудов — редкое осложнение отравления ядом обыкновенной гадюки, которое требует своевременной диагностики и лечения. Учитывая разнообразие клинической картины, общий тяжелый статус пациента, врач должен сохранять подозрительность в отношении кардиальных жалоб и действовать строго по алгоритму ведения пациентов с инфарктом миокарда.
Список литературы
1. Siigur J, Siigur E. Biochemistry and toxicology of proteins and peptides purified from the venom of Vipera berus. Toxicon X. 2022;15:100131. doi:10.1016/j.toxcx.2022.100131.
2. Hermansen MN, Krug AH, Tjønnfjord E, Brabrand M. Envenomation by the common European adder (Vipera berus): a case series of 219 patients. Eur J Emerg Med. 2019;26(5):362-5. doi:10.1097/MEJ.0000000000000577.
3. Chowdhury A, Zdenek CN, Lewin MR, et al. Venom-Induced Blood Disturbances by Palearctic Viperid Snakes, and Their Relative Neutralization by Antivenoms and EnzymeInhibitors. Front Immunol. 2021;12:688802. doi:10.3389/fimmu.2021.688802.
4. Bernasconi L, Schicchi A, Pirozzolo R et al. Coronary thrombosis after European adder bite in a patient on dual antiplatelet therapy: A case report. Toxicon. 2022;220:106961. doi:10.1016/j.toxicon.2022.106961.
5. Yousaf M, Khan QA, Anthony MR, et al. Snakebite Induced Cerebral Venous Sinus Thrombosis: A Case Report. Clin Med Insights Case Rep. 2023;16:11795476231165750. doi:10.1177/11795476231165750.
6. Das DS, Mohapatra RK, Mohanty RR, Patel RK. Acute ischaemic stroke and deep vein thrombosis following snakebite. BMJ Case Rep. 2024;17(5):e259071. doi:10.1136/bcr-2023-259071.
7. Kounis NG. Kounis syndrome: an update on epidemiology, pathogenesis, diagnosis and therapeutic management. Clin Chem Lab Med. 2016;54(10):1545-59. doi:10.1515/cclm-2016-0010.
Об авторах
М. К. ВоронцоваРоссия
Марина Константиновна Воронцова — врач анестезиолог-реаниматолог отделения анестезиологии и реанимации.
Самара
Конфликт интересов:
все авторы заявляют об отсутствии потенциального конфликта интересов, требующего раскрытия в данной статье
И. А. Осадчий
Россия
Игорь Анатольевич Осадчий — к.м.н., доцент кафедры анестезиологии, реаниматологии и скорой медицинской помощи ИПО, врач анестезиолог-реаниматолог, зав. отделения анестезиологии и реанимации.
Самара
Конфликт интересов:
все авторы заявляют об отсутствии потенциального конфликта интересов, требующего раскрытия в данной статье
А. В. Алексанкин
Россия
Артем Вячеславович Алексанкин — врач анестезиолог-реаниматолог, зав. отделения анестезиологии и реанимации.
Самара
Конфликт интересов:
все авторы заявляют об отсутствии потенциального конфликта интересов, требующего раскрытия в данной статье
И. С. Захаров
Россия
Илья Сергеевич Захаров — врач-ординатор.
Москва
Конфликт интересов:
все авторы заявляют об отсутствии потенциального конфликта интересов, требующего раскрытия в данной статье
Д. В. Дупляков
Россия
Дмитрий Викторович Дупляков — д.м.н., профессор, зав. кафедрой пропедевтической терапии с курсом кардиологии ИПО, зам. главного врача.
Самара
Конфликт интересов:
все авторы заявляют об отсутствии потенциального конфликта интересов, требующего раскрытия в данной статье
Дополнительные файлы
- Яд некоторых видов змей обладает прокоагулянтным действием и может давать атипичную картину отравления, приводя в т.ч. к кардиальным осложнениям.
- Специфические ангинозные жалобы пациентов в нестандартных клинических ситуациях должны немедленно инициировать диагностику и помощь согласно стандартам ведения пациентов с инфарктом миокарда.
- Точный патогенез коронарного тромбоза, возникшего после укуса змеи, остается открытым для дискуссии.
Рецензия
Для цитирования:
Воронцова М.К., Осадчий И.А., Алексанкин А.В., Захаров И.С., Дупляков Д.В. Инфаркт миокарда после укуса гадюки. Клинический случай. Российский кардиологический журнал. 2025;30(10S):6379. https://doi.org/10.15829/1560-4071-2025-6379. EDN: IWIVMH
For citation:
Vorontsova M.K., Osadchiy I.A., Aleksankin A.V., Zakharov I.S., Duplyakov D.V. Myocardial infarction after a viper bite: a case report. Russian Journal of Cardiology. 2025;30(10S):6379. (In Russ.) https://doi.org/10.15829/1560-4071-2025-6379. EDN: IWIVMH
JATS XML







































